流山・柏地域でセラミックスを用いた専門治療をしております。

お問い合わせはこちら

ブログ

流山の歯科医院でセラミックスを用いた専門治療をしております。

2019/12/31

5前歯(右上2番~左上3番)をジルコニアオールセラミックスで治療した経過

術後経過を追うことが重要です。

術前写真

正面観

ダイレクトボンディングと呼ばれる高度な接着技法により前歯をレジン充填で治療されていました。レジンは経過年数が長いほど、細かい欠けや着色が目立ってくるようになります。前医により左上2番(画像の真ん中から右側2本目の歯)はレジンにより欠損部分を補われている状態でしたが、頻回の脱離により審美性に問題が出ていました。

術後経過

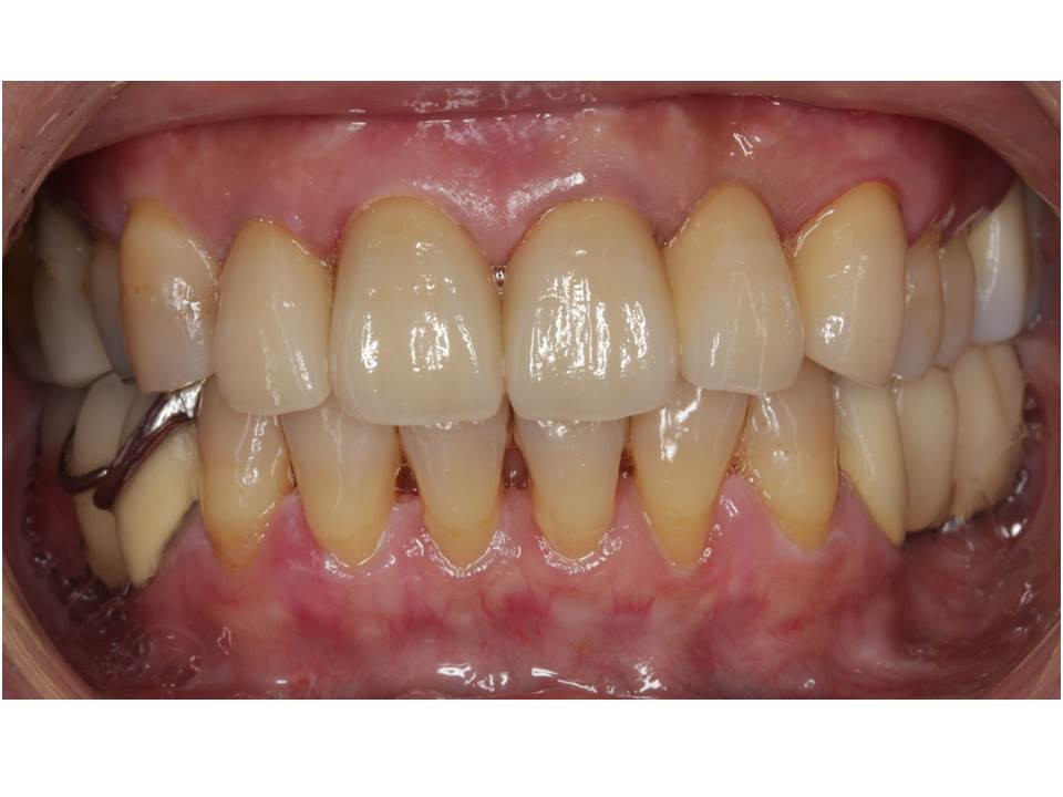
装着直後(正面観)

右上2番、右上1番を単冠で、左上1番、2番、3番を3歯ブリッジで補綴しました。全てジルコニアオールセラミックスクラウンです。当時の担当技工士とディスカッションを重ねた上、色・形態を決定致しました。当院では保険外技工に関しては必ず担当技工士を決定し、顔を突き合わせ、患者様に合った生体材料をオーダーメイドで作製させていただきます。

術後6年経過

左側方面観

術後6年が経過。歯冠形態・歯肉ラインは維持され、高いレベルで生体適合性が得られています。患者様のメインテナンスのモチベーションも高いため安定した経過を辿っています。被せる治療では、歯茎の状態を良くし、咬み合わせを安定したものにすることが重要です。

定期検診には必ず通いましょう!

当店でご利用いただける電子決済のご案内

下記よりお選びいただけます。