流山・柏地域でテレスコープ義歯の治療が受けられます。

お問い合わせはこちら

ブログ

流山の歯科医院で「テレスコープ義歯」の治療を行っております。

2020/01/03

流山・柏地域でテレスコープ義歯の治療が受けられます。

バネの無い入れ歯でしっかり噛めしめても動きや緩みが生じません。

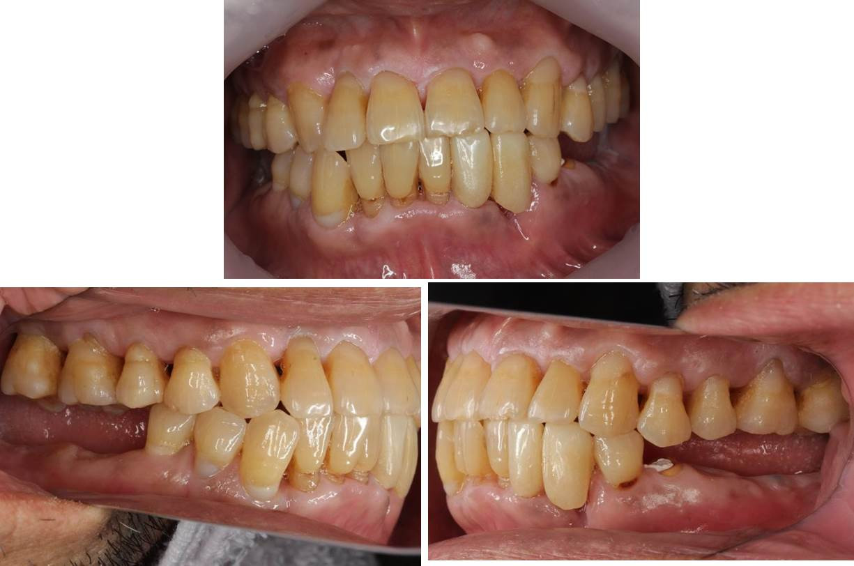
治療前のお口の中の様子

むし歯と歯周病を発症しています。

 むし歯と歯周病に対する予防治療の重要性と認知度は、近年非常に高くなっています。しかし、昔ながらの治療を受け続けてきた方の場合、予防優先では対応が手遅れになってします場合があります。予防しながらの補綴(欠損を回復し、機能回復とリハビリテーションを行うこと)をする概念、つまり「予防補綴」の概念が必要になります。予防補綴に最も適している、「テレスコープシステム」の一例を紹介します。

 患者様は男性で齲蝕と歯周病を併発しており、下顎は奥歯を失っている状態でした。歯周病の治療と虫歯の治療を行ないつつ全顎的に介入する治療方針を立てました。持病のため外科処置が行なえない患者様も多く、今回の患者様もインプラント治療は受け入れられない状態でした。

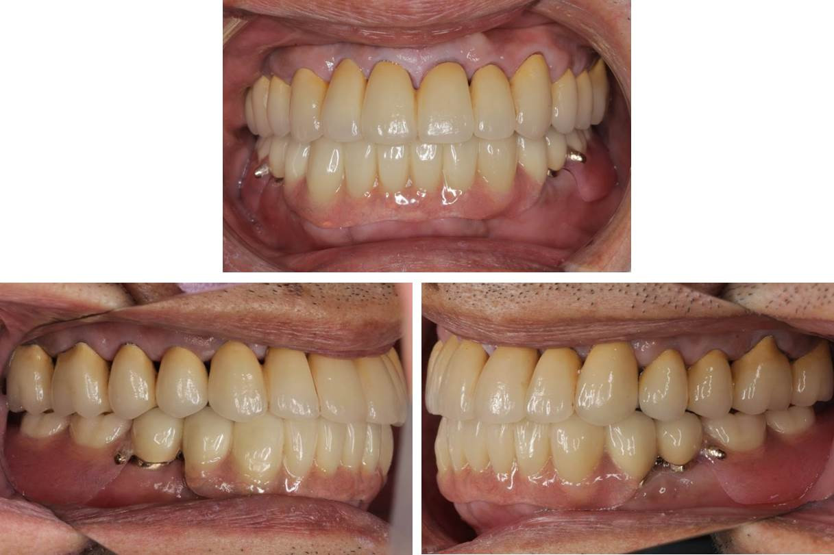
治療後のお口の中の様子①

「コーヌス テレスコープ」という入れ歯が装着されています。

 上の歯は「メタルボンド冠」という、金属にセラミックスを焼き付けた白い被せ物で、下の歯は「コーヌス テレスコープ」という義歯で治療しています。コーヌス テレスコープの維持機構は、茶筒の蓋と同じく、歯に取り付けた金属冠と入れ歯の内側に取り付けた金属冠が面と面で接することで、着脱が可能となります。つまり入れ歯の内側に接着剤や入れ歯安定剤は不要ですし、バネも使用しませんので、審美的にも好まれることが多いようです。取り外せるメリットを活かし、残っている歯の清掃性も向上します。万が一、支える歯を失っても、義歯の形を変えることなく即日修理が可能であるため、一度得た美しい歯並びを長く綺麗に保つことができるというのが利点です。

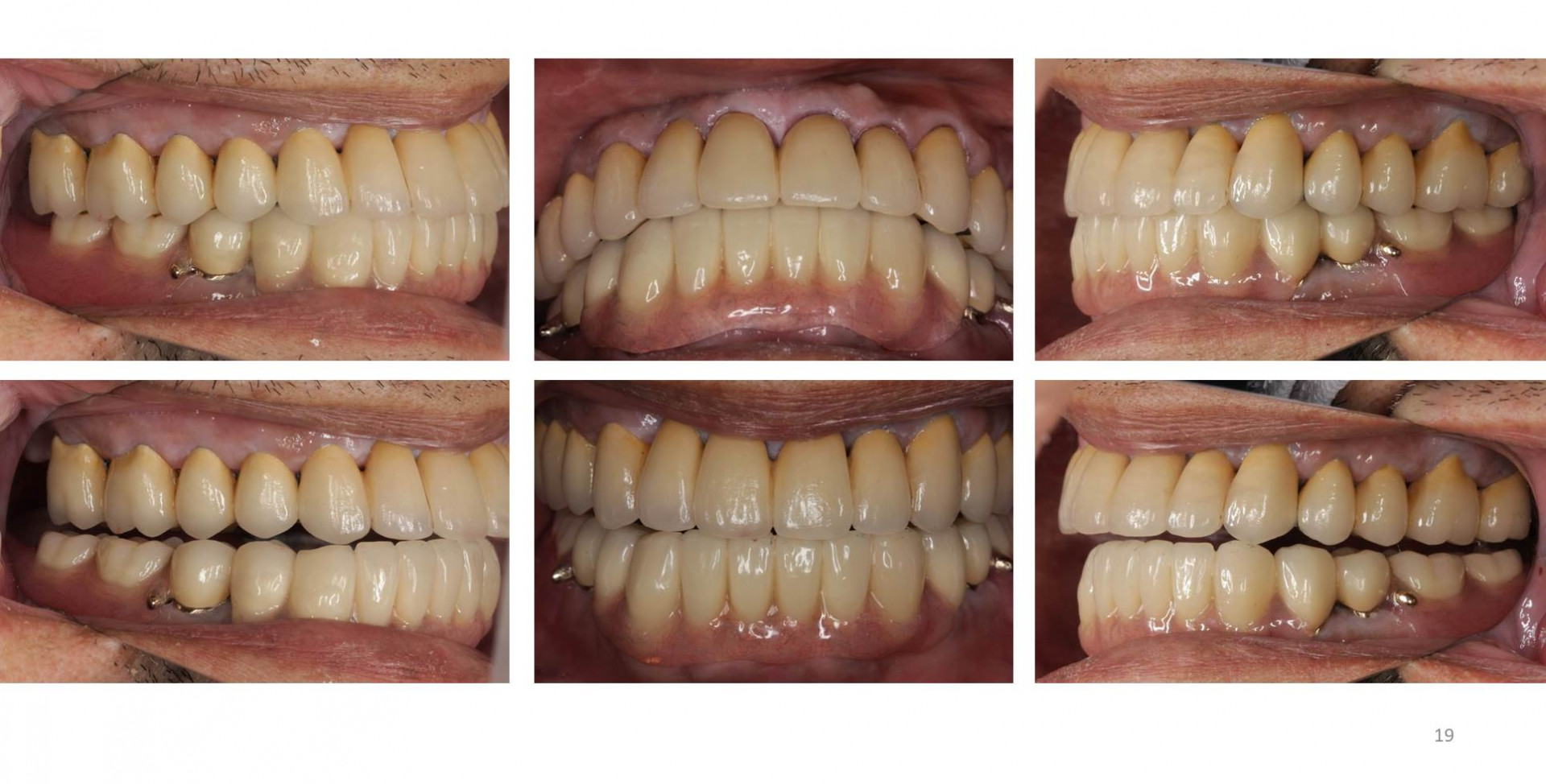
治療後のお口の中の様子②

顎の動きもスムーズです。

 上段は上下の歯を咬み合わせた状態です。下段中央は、前方に動かして前歯同士を合わせた状態、つまり前歯で食べ物を咬み切る時の動きを想定して咬み合わせを作っています。下段左右は、顎を左右に動かした状態、つまり食べ物をすりつぶす時の動きを想定して咬み合わせを作っています。総入れ歯の時を除き、原則、前後左右に顎を動かした際には、4番目以降の「臼歯」と呼ばれる部分は離開しなくてはなりません。本症例においても僅かな間隙を設けて顎の動きがスムーズになるようにしてあります。

治療後のお顔の様子

顔貌と歯並びの調和が図れています。

 お口の中で綺麗に見えていても、お顔と歯並びの調和がとれていない、と感じることがあります。歯科医療というのは、歯と歯茎、咬み合わせのバランスをコントロールすることで、顔の形や細やかな印象を変えることができる唯一の分野だと思います。また、摂食嚥下能力を高めることが、健康寿命を延ばす最適の方法でもあります。口元から全身の健康を考えてみてはいかがですか?

 入れ歯の形や見た目、咬み合わせの不調和を感じられている方は是非、グランツ歯科クリニックまでご相談ください。咬合認定医・補綴専門医が相談させていただきます。

当店でご利用いただける電子決済のご案内

下記よりお選びいただけます。