流山・柏地域の歯科医院で酸蝕症の専門治療が受けられます。

お問い合わせはこちら

ブログ

流山の歯科医院で酸蝕症の専門治療が受けられます。

2020/01/08

流山・柏地域で酸蝕症の専門治療が受けられます。

早期発見・早期介入が重要です。

「歯が溶ける!?」

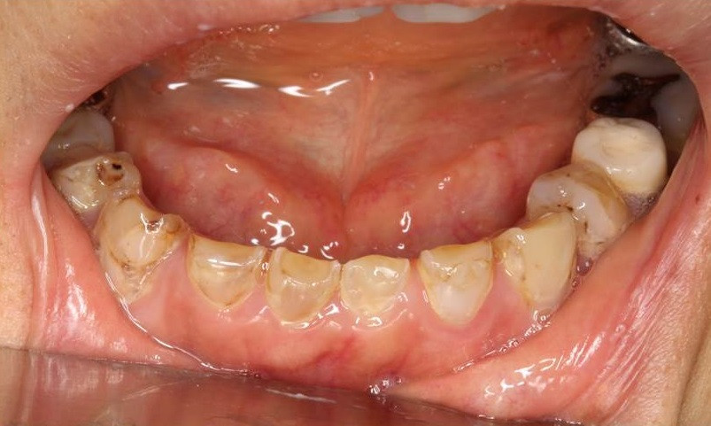
 近年,齲蝕や歯周病に次ぐ,歯の喪失を招く第三の歯科疾患として,“Tooth Wear” が注目されています。“Tooth Wear”とは,歯の咬耗・摩耗・酸蝕などの総称です。 その罹患率は98.9%と言われており,そのうちの5.1%が象牙質に及ぶほどの重症であると Smith(1984)らは報告しています。

 “Tooth Wear”自体は加齢と共に進行する生理的現象ではありますが、高齢者で重篤度が増し,若年者では軽症である傾向にあるため、早期発見・早期治療が鍵となります。“Tooth Wear” を進行させる加速因子としては,胃食道逆流症,薬剤投与による唾液減少,酸性食品の大量摂取,摂食障害に伴う嘔吐などが挙げられ,過度な咬耗症を併発した重症例では全顎的な補綴介入が必要となる場合があります。

 写真画像は,長期に渡り摂食障害があった患者様のお口の様子です。もし,「歯が小さくなってきたかな?」,「歯が削れてきてしみるようになってきたかな?」などの症状でお困りの際には,是非,グランツ歯科クリニックまでご相談ください。

当店でご利用いただける電子決済のご案内

下記よりお選びいただけます。