流山・柏地域の歯科医院で銀歯が目立たない治療をしております。

お問い合わせはこちら

ブログ

流山の歯科医院で銀歯が目立たない治療をしております。

2020/01/18

流山・柏地域で銀歯が目立たないメタルフリー治療が受けられます。

黒い歯(銀歯)で生まれてくる人はいらっしゃいません。

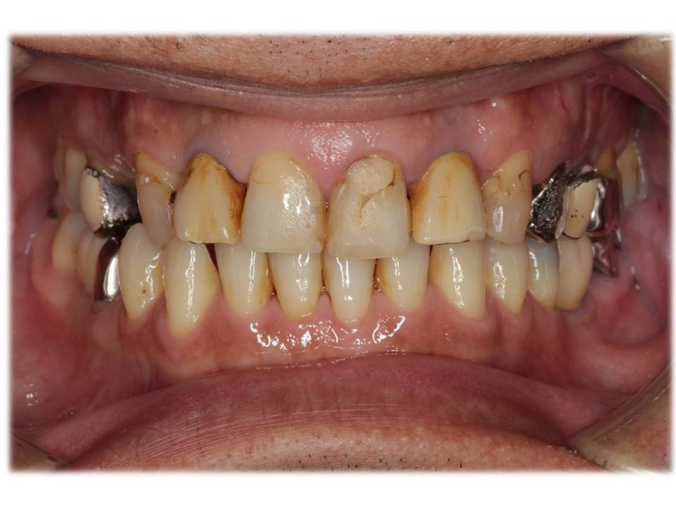
治療前のお口の中の様子

むし歯と銀歯が目立ちます。

 「歯科治療をする度に銀歯が増えてしまう」という経験をしたことはありませんでしょうか?厚生労働省の定める健康保険適用の材料は長らく銀歯が主役でしたが、近年ではセラミックス材料や高強度レジン系材料、そして接着性レジンセメント材料の進歩により、その主役は金属修復からCAD/CAMテクノロジーを駆使した最新のデジタル治療に取って代わろうとしています。

 

 画像の患者様も、これまでに保険適用の治療を繰り返し受け続け、歯は欠損し、むし歯が発生し、銀歯が目立つお口の中になっていました。「齲蝕および歯牙欠損に伴う審美・咀嚼障害」と診断されます。

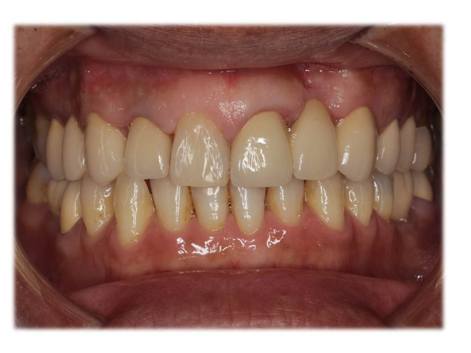
治療後のお口の中の様子

自然な歯の色と形が復元されています。

 皆様はもし仮に、医科の手術として開腹手術を受けた場合、傷跡は出来るだけ残さないようにして欲しいと考えませんでしょうか?歯科では長らく、銀歯で治療痕を残す治療が、歯科医師の手により平気でなされてきました。医療用材料と技術の飛躍的な進歩により、現代の歯科治療は可能な限り治療痕を残さない治療にシフトしつつあります。画像は治療後のお口の中ですが、金属色は全く見えないように治療されています。

 

 生まれながらの白い歯を取り戻したい方は是非、グランツ歯科クリニックまでご連絡下さい。咬合認定医・補綴専門医が相談させていただきます。

当店でご利用いただける電子決済のご案内

下記よりお選びいただけます。