流山の歯科医院でハイブリッドセラミックスを用いたテレスコープ治療を行っております。

お問い合わせはこちら

ブログ

流山の歯科医院でハイブリッドセラミックスを用いたテレスコープ治療を行っております。

2020/02/03

流山でハイブリッドセラミックスを用いたテレスコープ治療が受けられます。

セラミックスに比べて軽量であるため、重さによる違和感がありません。

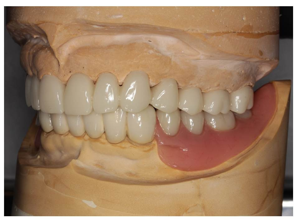
チタン合金製スプリットピンコーヌステレスコープの完成です。

群馬県の技工所「京王歯研」様の作製です。

 チタンという金属は軽量かつ耐腐食性に富む金属である為、整形外科領域や歯科領域において医用材料として応用されています。健康保険適用で銀歯に使用される金銀パラジウム合金に比較して、比重は1/4程度で軽量です。白い歯の部分は「ハイブリッドセラミックス」と呼ばれるレジン系材料で前装することで、歯の自然な形、色味を再現することができます

放電加工技術を応用している「京王歯研」様にお願いしております。

 画像は、チタン合金を用いたコーヌステレスコープ義歯です。「放電加工技術」によるチタンスプリットピンと呼ばれる構造を内部に隠してあり、長期使用に耐え得る設計にしてあります。この「放電加工」というのは歯科技工技術としては最高峰の術式です。当院でのテレスコープ義歯は「京王歯研」様と協力体制を敷いて作製させていただいております。

 

 高度な歯科医療技術と、最高の歯科技工技術をお求めの方は是非、グランツ歯科クリニックにご相談ください。

 

当店でご利用いただける電子決済のご案内

下記よりお選びいただけます。