流山の歯科医院であらゆる治療に関するセカンドオピニオンを受け入れております。

お問い合わせはこちら

ブログ

流山の歯科医院であらゆる治療に関するセカンドオピニオンを受け入れております。

2020/02/18

流山であらゆる治療に関するセカンドオピニオンを聞ける歯科医院です。

遠慮なくご相談下さい。

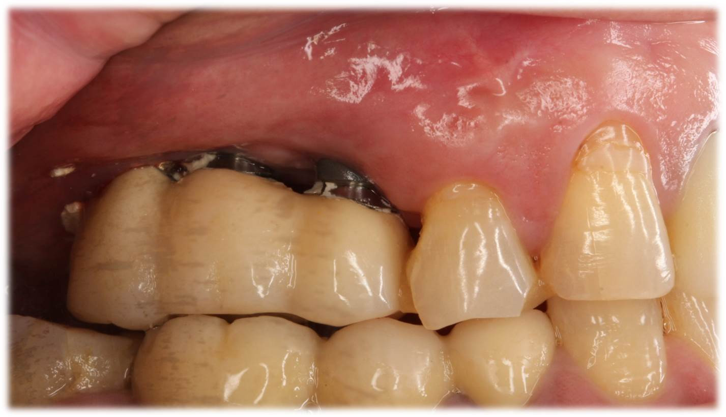
 「他院通院中ですが、セカンドオピニオンを受けたい」というご要望が増えてきています。画像の症例は、奥歯のインプラントの上部構造(被せ物)に関するセカンドオピニオンでした。「最近、口の中に入れたけれども食べ物が入って詰まってしまう」との訴えがありました。

 

 インプラント体のスレッド部分(ネジ)が見えてしまっており、被せ物と歯茎の間にも大きな間隙があるのが問題です。通常は歯茎の下方からの立ち上がりを作るように、予め計画するのですが、スレッド部が見えている現状では、上部構造の被せ直しをする以外に、改善は不可能と思われました。また、仮留めのセメント材料が多量に残っている状態でしたので、このままではインプラント周囲炎を惹起する可能性もあることを説明し、通院中の歯科医院にも文書での状況報告をさせて頂きました。

 

 当院では、歯科に関するあらゆる治療法に対してセカンドオピニオンのご要望を受け入れておりますので、現在の治療状況に関して第三者の客観的な意見を聞きたいという方は是非、グランツ歯科クリニックまでご相談ください。

 

当店でご利用いただける電子決済のご案内

下記よりお選びいただけます。