流山の歯科医院でジルコニアセラミックスを用いた治療をしております。

お問い合わせはこちら

ブログ

流山の歯科医院でジルコニアセラミックスを用いた治療をしております。

2020/02/22

流山で最新のセラミックス材料「ジルコニア」を用いた治療が受けられます。

高強度で審美性に優れ、歯並び・咬み合わせの長期的安定が得られます。

 セラミックス材料の中でも特に高強度であるのが、ファインセラミックスの一種である「ジルコニア」です。歯科用に応用され研究も進み、強度と審美性を兼ね備えた「高透光性ジルコニア」が臨床応用されています。

 

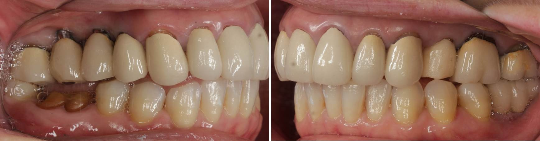
 画像左の写真は、既に以前に被せる治療を受けている患者様の例です。歯茎が下がり、被せ物の縁(フチ)が露出し、金属フレームの黒さが目立っている状態でした。全体的に治療を施し、画像右のように被せ直しを行ないました。「高透光性ジルコニア」を治療用材料に選択した症例です。

流山で審美と歯列の分析に基づいた審美補綴治療が受けられます。

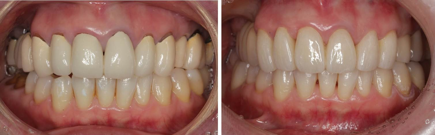
オープンバイト(開咬)になり、咬み合わせの乱れが歯並びに影響します。

 補綴的オープンバイト(開咬)になっており、臼歯に負担が掛かりすぎ、右下6番(画像左側の奥から2番目の歯)は保存不可能な状態でした。咬み合わせて撮影しているのですが、手前側の上下の歯に隙間があるのが分かります。前歯は奥歯を守るために存在していますので、咬んでいない前歯のままでは奥歯を守ることはできません。

流山で咬み合わせと歯列を長期に保つセラミックス治療が受けられます。

咬合認定医・補綴専門医が診査・診断を行ない、治療します。

 全ての歯に均等な咬合接触関係を設定し、前後左右に顎がスムーズに動きやすいような角度を上顎の前歯の裏側に付与しています。デジタルとアナログの両側面から顎運動機能測定を行なうことで、生体に合った補綴物(被せ物)製作が可能となります。

 

 画像は術後の記録です。咬合平面が揃い、横一線に歯列が構築され、歯並び・咬み合わせの面で調和が図られています。最新のセラミックス材料「高透光性ジルコニア」による審美補綴治療の一例です。被せ物の縁もしっかりと合わせています。

 

 「銀歯が見えてイヤだ」という方被せ直す型取りの前に材料の相談をしたい方セラミックス材料を用いた高度な治療を受けたい方は是非、グランツ歯科クリニックまでご相談ください。補綴専門医・咬合認定医が相談させていただきます。

 

当店でご利用いただける電子決済のご案内

下記よりお選びいただけます。