流山の歯科医院でお子様のむし歯や怪我をした歯の治療を行っております。

お問い合わせはこちら

ブログ

流山の歯科医院でお子様のむし歯や怪我をした歯の治療を行っております。

2020/02/26

流山でお子様のむし歯や怪我をした歯の治療が受けられます。

子供の乳歯の歯科治療は、タイミングが重要です。

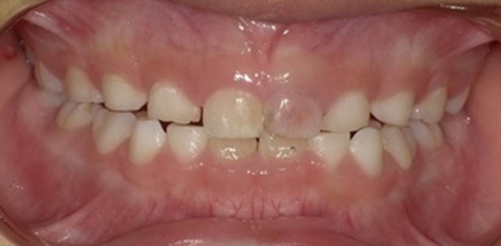
 地域柄でしょうか、当院にはご高齢の方が多く来院されますが、近隣に幼稚園がある関係もあり、小さなお子様の歯科治療の相談が、最近では増えてきています。本日来院されたお子様は、数週間前に自宅で受傷し、ここ数日間で歯の色の変色に気が付いた、という患者様でした。

 

 写真の例のように、歯の内部の血管や神経が透けるような様相を呈する歯の変色であることから「ピンクスポット」と呼ばれます。歯の「内部吸収」という状況になると、このピンクスポットが出現することがあります。

 

 歯の「内部吸収」とは、歯の内部にある神経の側から、象牙質が破壊されて歯質が薄くなってしまうことを指します。打撲などの外傷が引き金となり、内部吸収を起こして歯が薄皮一枚になってしまい、内側の組織が透けて見えるため、ピンク色に変わってしまうのです。症状は無く経過することがほとんどで、歯の色が変ってきたり、たまたま撮影したエックス線写真で気づくことが多いのです。早い段階で吸収の程度が少なければ、ダメージを受けてしまった神経の処置をして内部吸収の進行を抑制し、歯を残すことができますが、吸収してしまった歯質は元に戻すことができません内部吸収が進行すると稀ですが抜歯となる場合があります

 

 子供の歯の外傷には気を付けたいところですね。ご相談はグランツ歯科クリニックまでご連絡ください。

当店でご利用いただける電子決済のご案内

下記よりお選びいただけます。