流山の歯科医院でセラミックス材料を用いた「接着ブリッジ」の治療を行っております。

お問い合わせはこちら

ブログ

流山の歯科医院でセラミックス材料を用いた「接着ブリッジ」の治療を行っております。

2020/03/05

流山で歯をほとんど削らない、セラミックスによる接着ブリッジの治療が受けられます。

歯列(歯並び)や顎の動き、習癖などの‟適応症”を見極めることが重要です。

 当院では、お口の中の状況に応じて、最適な治療プランを提案した上で、患者様に治療方法を選択して頂き、治療を進めるように心掛けております。もはや「先生の言う通りで…」という時代ではないことを、患者様ご自身がしっかりと理解することが、より良い選択をするために必要不可欠です。

 

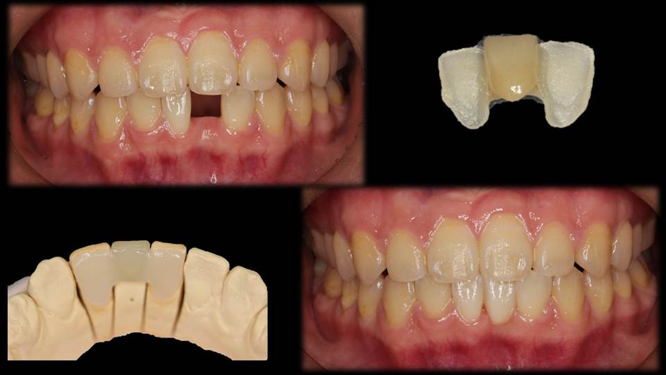
 画像のケースは矯正治療後の患者様で、下の歯の前歯1か所のみ欠損している部分の治療方法で相談がありました。両隣の歯は生活歯(神経の生きている歯)であり、通法通りのブリッジでは削る量が多く、比較的若い年齢の患者様の場合には受け入れられないことがあります。やはり、歯科医師としても抵抗があります。

 

 接着ブリッジという歯の裏側(舌側面)のみを利用する、非切削の、又は限りなく切削量の少ないブリッジの方法があります。本症例ではe.max? press(ivoclar vivadent社)という二ケイ酸リチウムガラスセラミックスを用いた接着ブリッジを装着しました。

 

 大事な歯を出来るだけ削りたくない、と考えるのは歯科医師も同じです。ブリッジやその他の治療方法でお悩みの方は是非、グランツ歯科クリニックまでご相談ください。

 

当店でご利用いただける電子決済のご案内

下記よりお選びいただけます。