流山の歯科医院で「歯根破折」の診断・治療を行なっております。

お問い合わせはこちら

ブログ

流山の歯科医院で「歯根破折」の診断・治療を行なっております。

2020/03/25

流山で「歯根破折」の診断・治療が受けられる歯科医院です。

「折れてから…、腫れてから…」では遅いのです。

 当院、グランツ歯科クリニックには、3次元CT画像を撮影可能なレントゲンシステム(ヨシダ社)と、マイクロスコープ(ライカ社)を完備しており、「歯根破折」の診断・治療の一助に役立てております。他院で治療済みの歯が腫れてしまったり、痛みがなかなか引かない場合に、セカンドオピニオンで相談・来院される患者様が最近は増えてきています。

 

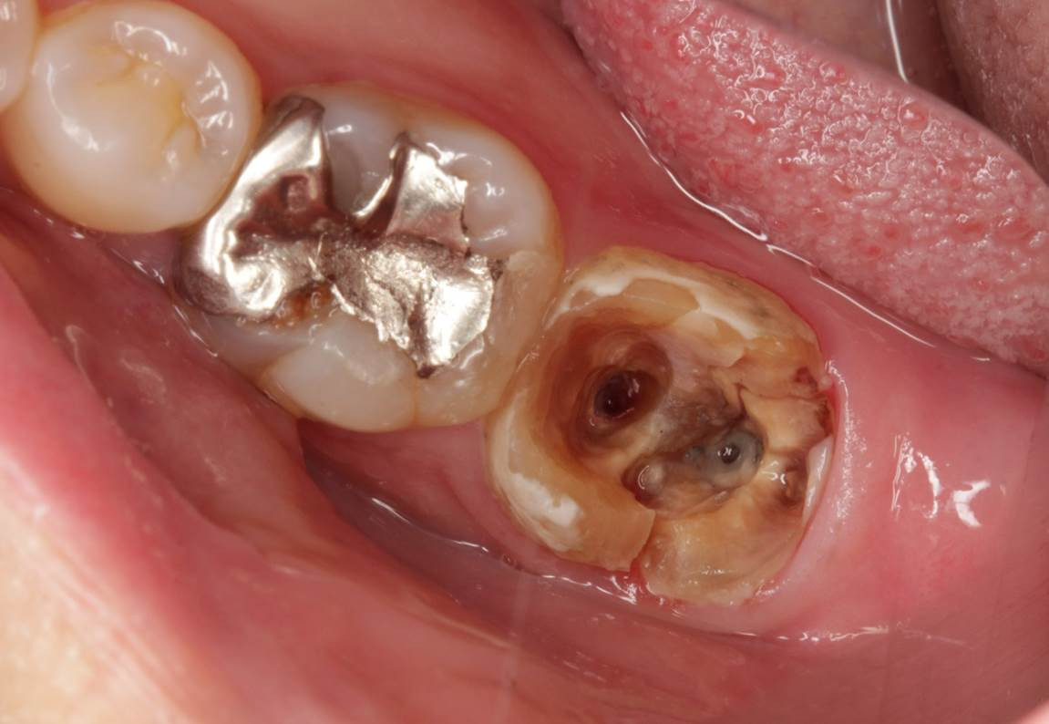
画像は、装着したばかりのクラウン周囲の歯茎が腫れて痛みが続いている患者様の相談でした。クラウンとメタルコア支台築造材料を撤去した状態の根の中の状態です。歯の中の髄床底と呼ばれる部分に破折線が見られ、「歯根縦破折に伴う急性根尖性歯周炎」の診断のもと、抜歯適応である旨を説明しました。

「治療して装着した被せ物が外れたので、かかりつけ歯科医院にて診てもらい再装着したが、調子が悪い」とのことでした。画像は冠を外した状態の写真です。

 

 青矢印部分に破折線が見られ、‟歯根縦破折”という状態でした。破折線は根尖まで及んでいた為、『歯根縦破折を伴う慢性根尖性歯周炎』の診断の元、残念ながら抜歯術の適応であることを説明し、同意の上、施術となりました。黄矢印部分は隣の歯の歯冠部分ですが、ここにもエナメル質のマイクロクラック(破折線)が見られます。この患者様のような破折線が見られる場合には「咬合力(嚙み合わせる力)」が非常に強く、噛みしめで歯を失っていく傾向にあるため、注意が必要です。

歯に関する様々なトラブルでお悩みの方は是非、グランツ歯科クリニックまでご相談ください。セカンドオピニオンも積極的に受け入れております。

 

当店でご利用いただける電子決済のご案内

下記よりお選びいただけます。