流山の歯科医院で「歯ぎしりによる咬耗・摩耗」を防ぐマウスピースの装着を推奨しております。

お問い合わせはこちら

ブログ

流山の歯科医院で「歯ぎしりによる咬耗・摩耗」を防ぐマウスピースの装着を推奨しております。

2020/04/01

流山で「歯ぎしりによる咬耗・摩耗」を防ぐマウスピースの装着を推奨している歯科医院です。

睡眠時無呼吸、精神的・身体的ストレス等、歯ぎしりの発症因子は複合的に捉えられています。

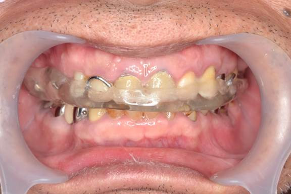
 「歯ぎしり・くいしばりで歯が痛い」という相談が増えてきています。上の画像は、「歯ぎしり・くいしばり」が酷く、奥歯が数本ですが歯根破折してしまったため、抜歯を余儀なくされた患者様です。咬んだ時の力をストップさせる奥歯の本数が少なくなるにつれて、前歯に負担が大きくなるため、ハード スプリント(マウスピース)を装着した状態です。

 

 「歯並び」や「かみ合わせ」の不調和が原因と考えられていましたが、近年の研究ではストレスなどのさまざまな要因が複合的に関わり合うことで発症すると言われていますが、どのようなメカニズムで生じるのかは現時点では解明されていません。飲酒、ストレスなどで眠りが浅いときに睡眠中の歯ぎしりが起こりやすくなることはわかっています。睡眠時無呼吸症候群も眠りが浅くなる原因になるため、関与が指摘されています。胃食道逆流症(逆流性食道炎)と歯ぎしりも関与があることが分かってきています。

 

 睡眠時の歯ぎしりには、ハードタイプのマウスピースを装着することで上下の歯が接触しないようにして歯を保護する方法があります。不規則な生活習慣や睡眠の質が歯ぎしりなどの悪習癖を悪化させる要因になっていると考えられるときは、生活習慣の改善を指導します。

 

 「歯ぎしり・くいしばり」でお悩みの方は是非、グランツ歯科クリニックまでご相談下さい。

 

当店でご利用いただける電子決済のご案内

下記よりお選びいただけます。