流山の歯科医院で高透光性ジルコニアを用いた補綴治療をしております。

お問い合わせはこちら

ブログ

流山の歯科医院で「高透光性ジルコニア」を用いた補綴治療をしております。

2020/04/12

流山で新規セラミックス材料「高透光性ジルコニア」を用いた治療が受けられる歯科医院です。

治療の成否を分けるのは「強度」だけではありません。

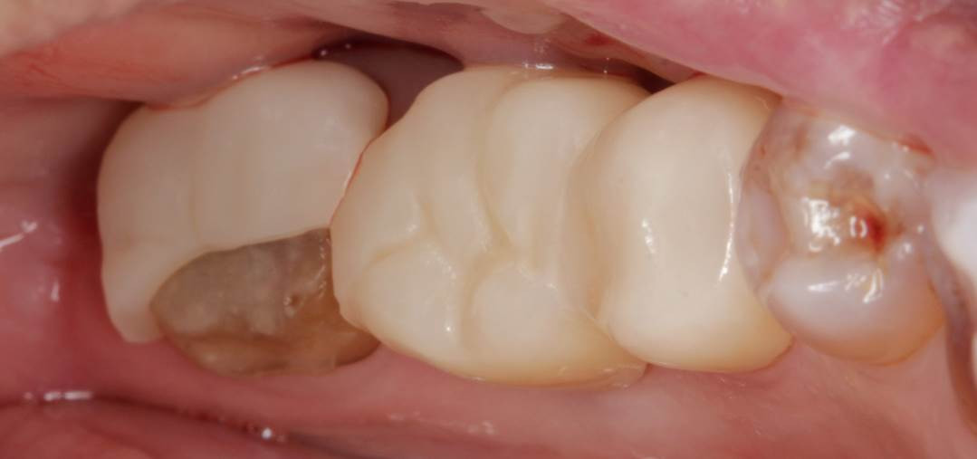
 生体に合った歯科材料選択の相談が増えてきています。画像は新規セラミックス材料である「高透光性ジルコニア」による3歯ブリッジの症例ですが、破損しているのが分かります。ジルコニアは割れないセラミックスとして世に売り出されましたが、決して「破損しない」わけではありません。こちらの患者様の場合には、オープンバイト(開咬)という、奥歯でしか咬合接触がない歯並びの患者様でした。ブリッジのフレームワークの設計を再検討し、被せ直すことで経過を診ております。

 

 セラミックス治療の成功の成否の分水嶺は、ジルコニアセラミックス(曲げ強さ900~1,200MPa)にするか、二ケイ酸リチウムガラスセラミックス(400~550MPa)にするかといった材料強度の問題だけでなく、接着の問題咬合関係の付与など、熟慮すべき治療上のポイントが複数あります。

 

 最新の歯科材料で、最高の治療技術で治療を成功させたいとお考えの方は是非、グランツ歯科クリニックまで御相談ください。

 

当店でご利用いただける電子決済のご案内

下記よりお選びいただけます。