流山の歯科医院で「目立たない入れ歯の治療」を行っております。

お問い合わせはこちら

ブログ

流山の歯科医院で「入れ歯であることが目立たないテレスコープ治療」を行っております。

2020/04/25

流山で「治療痕が目立たない治療」が受けられる歯科医院です。

歯科では治療痕が残る治療法が当たり前のようになされてきました。

 「入れ歯が合わなくて使用できない」という相談が多く寄せられています。クリニック所在地の土地柄もあり高齢者が多く、近くに義歯専門の歯科医院が無いようで、長くお困りの方が多いようです。

 

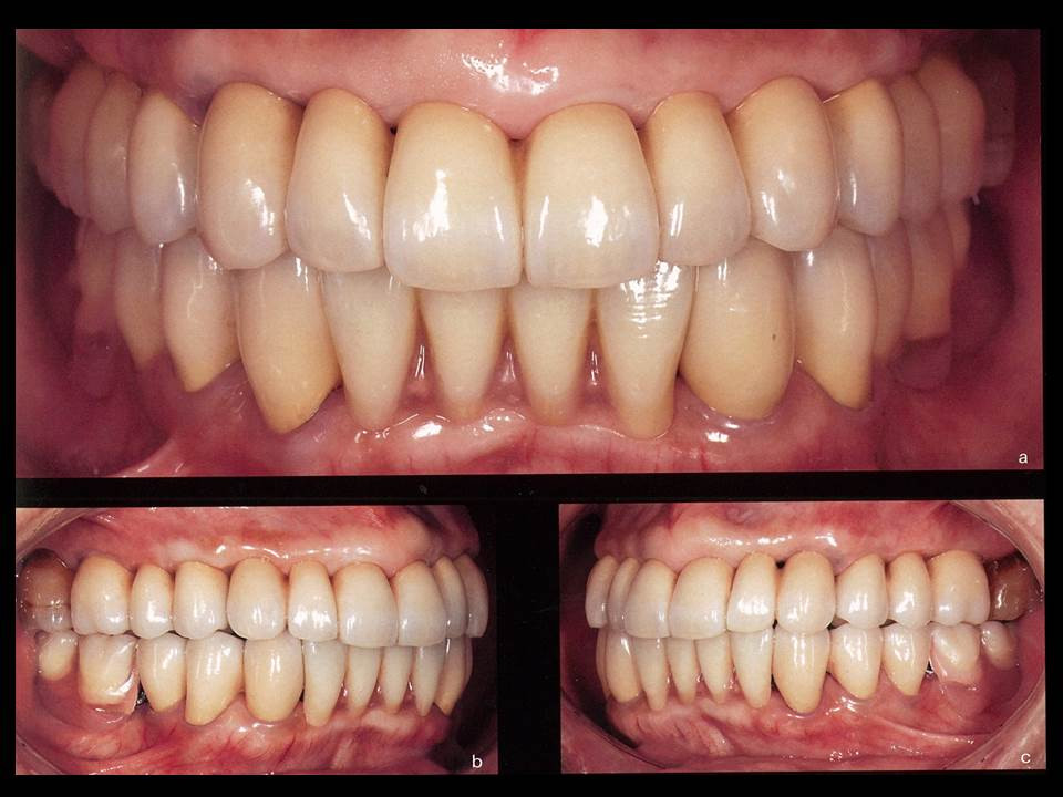
 当院グランツ歯科クリニックでは、画像のように治療痕が目立たない治療法を推奨させていただいております。歯科界では長く、歯科医師自身の手によって治療痕が残る治療方法が当たり前のようになされてきました。例えば、健康保険適用内の銀歯(金銀パラジウム合金や銀合金)、バネ式の入れ歯が挙げられます

 

 黒い歯(銀歯)で生まれてくる人はいません。歯科医療従事者として重要なのは、如何にして治療痕を残さずに親からいただいた白い歯に近い状態に戻してあげられるか、という発想で考えられるかどうかです。もはや、「白い歯にすることは贅沢」という時代ではありません。白くて当たり前」なのです。

 

 自分に合った歯科材料、治療方法を知りたい方は是非、グランツ歯科クリニックまでご相談下さい。咬合認定医・補綴専門医が相談させていただきます。

 

当店でご利用いただける電子決済のご案内

下記よりお選びいただけます。