流山の歯科医院で「可能な限り歯を残して入れ歯の治療」を行なっております。

お問い合わせはこちら

ブログ

流山の歯科医院で「可能な限り歯を残して入れ歯の治療」を行なっております。

2020/05/02

流山で「可能な限り歯を残した入れ歯の治療」が受けられる歯科医院です。

使用中の入れ歯にご不満はございませんか?

 使用中の入れ歯に関する相談が増えてきています。画像は、1年以上入れ歯の調整で他の歯科医院様にお通いでいらっしゃった患者様のレントゲン写真です。凄く控えめな患者様で、担当して下さっていた先生の事は決して悪くは仰らない方でした。しかし、長くお困りでいらっしゃったためか、少し諦めに似た雰囲気を初診問診時に感じましたが、きっと意を決して当院に相談にいらしていただいたのだと思います。

 

 歯の残り方に注目しますと、上下の歯で嚙み合う所が少なくなっており、画面左側の糸切り歯(上顎右側犬歯:右上3番)でのみご自身の歯で接触する状態でした。その歯もグラグラと揺れて動きが出てきてしまい、バネを掛けている歯自体が揺れてしまうと入れ歯もそれに合わせて動いてしまうのです。残っている歯での接触が無い状態を「すれ違い咬合」と表現し、補綴歯科医にとっては難症例と判断することが多いのです。この患者様の場合には「すれ違い」一歩手前の「類すれ違い咬合」と表現される状態です。

 入れ歯の安定にはバネを掛ける歯の状態にも大きく影響を受けますが、上下の歯の残り方と位置関係から考える設計が重要です歯茎の陥凹状態入れ歯の回転中心はどこに来るのかバネの形状・種類の選択等、検討しなくてはならないポイントがたくさんあります。

 

 この「すれ違い咬合」という状態では、入れ歯が割れてしまったりうまく咬めなかったり、という状態を繰り返し、食事の時には外し、外に出かけるときはマスクをし、人と会う時だけ入れ歯を入れる、という使用状況の方も多いようです。大学病院で入れ歯の治療に長く携わってきましたが、結論から言うと大変残念ではありますが、健康保険適用のバネ式入れ歯では、どれだけ設計を工夫しても、数年ごとに残っている歯を喪失するか、入れ歯を作り直すか、という方が殆どでした。

流山で「可能な限り歯を残して入れ歯の治療」を行なっている歯科医院です。

「テレスコープシステム」による入れ歯の専門治療が受けられます。

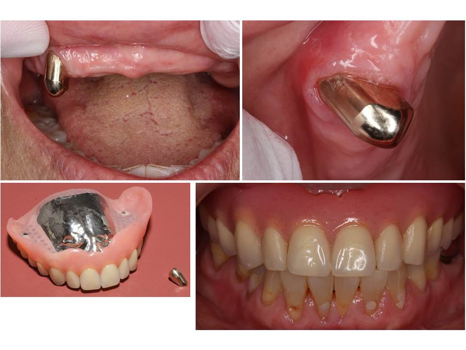
 グランツ歯科クリニックではドイツ式の入れ歯治療に特化した歯科医療サービスを提供しております。入れ歯治療の先進国であるドイツでは130年近くの歴史を誇る部分入れ歯の作製技術で、「テレスコープシステム」と呼ばれます。残存歯に金属製の保護キャップをして、更にその上に本来の歯の形を再現して歯を被せる茶筒方式で安定させる治療法のため、二重冠方式で歯に被せ物を装着して守る構造で、歯の強化を図ることができます。

 

 テレスコープシステムの特徴としては、残存歯への負担や違和感が少なく、審美性も高いため、患者様からの高い評価を得ています。レントゲン画像の患者様のような「すれ違い咬合」の方の場合には写真のような「レジリエンツ テレスコープ」で治療すると長期に安定します。

 

 

「合わない入れ歯」で長くお悩みの方は是非、グランツ歯科クリニックまでご相談ください。補綴専門医・咬合認定医が相談させていただきます。

 

※今のお使いの入れ歯のセカンドオピニオンも積極的に承っております。お気軽にご相談下さい。

 

※テレスコープ義歯による治療は健康保険適用外となります。

当店でご利用いただける電子決済のご案内

下記よりお選びいただけます。