流山の歯科医院で「最新のセラミックスとテレスコープ」に特化した治療をしております。-Vol.⑧

お問い合わせはこちら

ブログ

流山の歯科医院で「最新のセラミックスとテレスコープ」に特化した治療をしております。-Vol.⑧

2020/05/21

流山で「最新のセラミックスとテレスコープ義歯」に特化した治療が受けられる歯科医院です。

顎口腔系の機能改善が、全身の健康に与える影響を考える時代です。-Vol.⑧

入れ歯や被せ物についての相談が増えてきています。

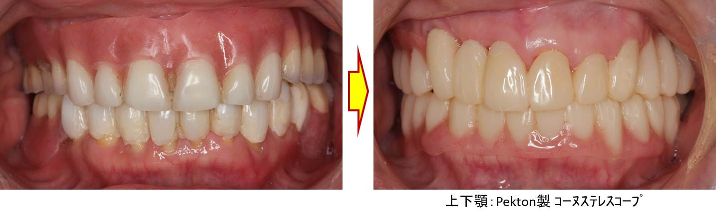
 画像は、長く合わない入れ歯を使用していた患者様の治療前後の写真です。歯茎全体に傷ができていた状態で、他院にて痛みがあることでどんどん入れ歯と歯を削ってしまい、小さくなってしまったようです。残存歯にも負担が掛かり、状態も悪くなってきたため、意を決して転院し、治療に臨んでいただける機会を得ました。見た目も改善させ、前歯で咬んだ力を奥歯へ分散し、奥歯でしっかりと咬み合わせを作ることで前歯を守れるよう、咬合力が歯と歯茎へ効率の良く分散するような義歯の設計をしなくてはいけませんでした。

 

 体質として金属アレルギーがある患者様であり、チタンを含めた歯科用金属が全く使用出来なかったこと、むし歯で全ての残存歯の神経をとってある状態であったため、材料選択に苦慮しました。チャレンジングな治療方法・材料選択ではありましたが、上下顎にメタルフリーのPeek/Pekton製 テレスコープでの治療を選択しました。

・上下顎:内冠に「ジルコニアセラミックス」

     外冠に「Peek/Pekton製 コーヌステレスコープ」

 

 当院グランツ歯科クリニックは、最新のセラミックス材料「ジルコニア」を臨床応用し、欠損補綴には伝統的な「テレスコープシステム」に最新の放電加工技術を応用した義歯治療に特化した歯科医院です。

 勿論、健康保険適用のメタルフリー高分子材料である高強度レジンブロック「CAD/CAM冠」を活用した治療や、部分入れ歯・総義歯の治療や、ごく一般的なむし歯治療も行なっておりますので、お口の中のトラブルに関しては是非、グランツ歯科クリニックにご相談下さい。補綴専門医・IPSG咬合認定医が対応させていただきます。

 

当店でご利用いただける電子決済のご案内

下記よりお選びいただけます。