流山の歯科医院で「テレスコープ義歯」による入れ歯治療をご提案しております。

お問い合わせはこちら

ブログ

流山の歯科医院で「テレスコープ義歯」によるドイツ式入れ歯治療をご提案しております。

2020/05/26

流山で「テレスコープ義歯」によるドイツ式入れ歯治療が受けられる歯科医院です。

「質の良いドイツ式入れ歯」治療で人生を取り戻しませんか?

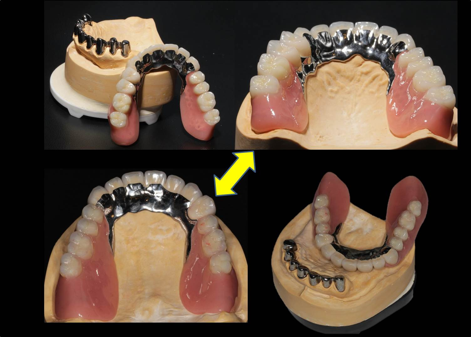
 「テレスコープ義歯」による治療が完了した患者様が3月と5月にいらっしゃいました。テレスコープ義歯(入れ歯)を装着するより前に、必ず模型上で形態や咬合関係のチェックをします。御二方とも、入れ歯の形がよく似ていたため、比較してみました。画像の上段と下段は別々の2人の患者様のテレスコープ義歯です。

 

 テレスコープ義歯の場合、全ての歯が外冠により連結固定されるため動きづらく、しっかりと噛める設計となっています。画像は2人の患者様の上顎のテレスコープ義歯ですが、形としては相似形であり、上アゴを覆うことなく、快適性を追求した設計となっております。どの患者様でもこのような形の設計になると思います。

 

 ※上アゴを覆いたくない患者様は是非、グランツ歯科クリニックまで「テレスコープ義歯」の相談のご連絡をお願い致します。

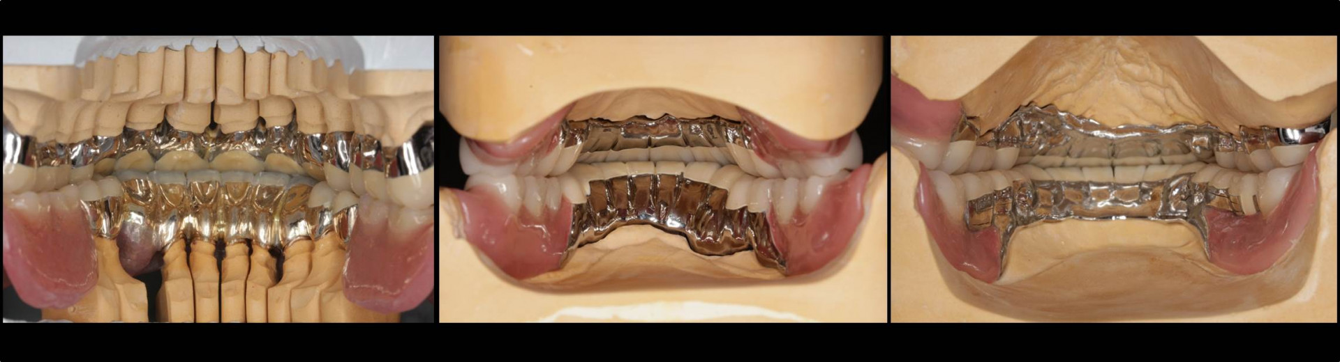
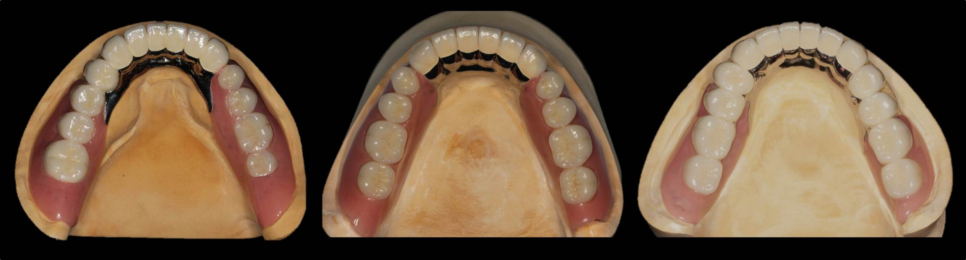
 上の画像は3人の別々のテレスコープ義歯を並べたものです。3者3様の歯の残り方であるにも関わらず、入れ歯の形は相似形になっています。舌の動きやスペースを広く取り、邪魔をしない設計となります。下の画像はお口の奥(喉側)方向からを想定した写真です。舌房(舌のスペース)を広くとり、お口の中を出来る限り広く開放するように設計してあります。

 

 質の良い入れ歯でもっと食事を楽しみたい」「笑った時の歯の見え方を良くして笑顔を取り戻したいという御要望でテレスコープシステムでの治療を希望される方が多いようです。入れ歯治療なら是非、グランツ歯科クリニックに御相談下さい。補綴専門医・IPSG咬合認定医が相談させていただきます。

 

当店でご利用いただける電子決済のご案内

下記よりお選びいただけます。