流山の歯科医院で「最新の放電加工技術を採用したテレスコープシステム」による入れ歯治療を行っております。

お問い合わせはこちら

ブログ

流山の歯科医院で「最新の放電加工技術を採用したテレスコープシステム」による入れ歯治療を行っております。

2020/06/11

流山で「テレスコープ義歯」による入れ歯の専門治療が受けられる歯科医院です。

「ノンクラスプデンチャー」「スマイルデンチャー」「エステデンチャー」は学会も推奨しておりません。

質の良い入れ歯」についての御相談が増えてきています。「質が良い入れ歯」というのはどういう入れ歯でしょうか?人によって価値観は異なるので、「質が良い」と一口に言っても、多様な意味合いがあると思われます。

 

 これまでに患者様から伺った感想から纏めますと、

  • よく噛める
  • 痛くない
  • 見た目が良い
  • 上アゴを覆わない
  • 舌の邪魔にならない

といった点が、「質が良い」と判断されることが多いようです。

 

 近年、「見た目が良い」という点に特化した入れ歯である「ノンメタルクラスプデンチャー(Non-Metal-Clasp Denture)」ですが、これは金属バネが無い代わりに、熱可塑性(熱で変形する)樹脂を歯茎のピンク色に似せてバネに用いた入れ歯で、通称「スマイルデンチャー」「エステデンチャー」「ノンクラスプデンチャー」などと呼ばれています。売り出す側が工夫して名付けた甲斐あって、一部の歯医者の間で民間療法的に広まった入れ歯の材料ですが、その為害性から推奨する歯医者は少数派であると思われます。(社)日本補綴歯科学会の見解でも、最終補綴装置としての使用には否定的な見解で結論付けられており、当院としても推奨できる歯科材料ではありません。

流山で「テレスコープ義歯」による入れ歯の専門治療が受けられる歯科医院です。

「質の良いテレスコープ義歯」で人生を取り戻しませんか?

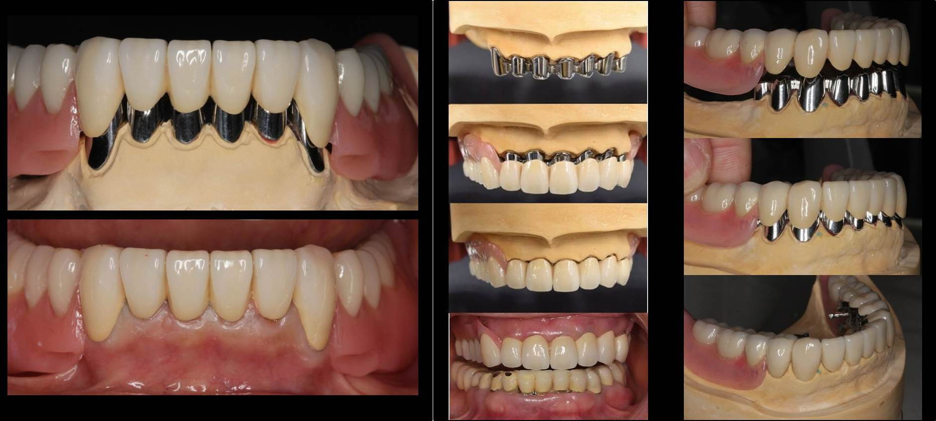
 当院グランツ歯科クリニックではドイツ式の入れ歯治療に特化した歯科医療サービスを提供しております。入れ歯治療先進国であるドイツでは、130年近くの歴史を誇る部分入れ歯の作製技術で、「テレスコープシステム」と呼ばれます。残存歯に金属製の保護キャップをして、更にその上に本来の歯の形を再現して歯を被せる方法のため、二重冠方式で歯に被せ物を装着して守る構造で、歯の強化を図ることができます。

 

 テレスコープシステムの特徴としては、残存歯への負担や違和感が少なく、審美性も高い治療技術であるため、患者様からの高い評価を得ています。作製には高度な歯科技工技術と知識を要するため、この治療技術を正しく理解し提供できている歯科医院と技工所は少ないと言えます。流山市では唯一、このテレスコープシステムに最新の放電加工技術を応用した治療技術を提供させていただいております。

 

 「合わない入れ歯」で長くお悩みの方は是非、グランツ歯科クリニックまでご相談ください。補綴専門医・IPSG咬合認定医が相談させていただきます。今現在お使いの入れ歯のセカンドオピニオンも積極的に承っております。お気軽にご相談下さい。

 

当店でご利用いただける電子決済のご案内

下記よりお選びいただけます。