流山の歯科医院で「前歯の機能と審美」を改善させる被せ物による補綴治療を行なっております。

お問い合わせはこちら

ブログ

流山の歯科医院で「前歯の機能と審美」を改善させる被せ物による補綴治療を行なっております。

2020/08/03

流山で「前歯の機能と審美を回復する」補綴治療が受けられる歯科医院です。

「デジタルスマイルデザイン」というのをご存知でしょうか?

当院では、患者様ごとの体質に合った人工生体材料の選択を推奨しており、特にデジタル加工技術を用いた精密な補綴医療技術を提供しております。レントゲンシステムも従来の読影の範囲に留まらず、口腔内や顔貌など複数のデジタル画像との重ね合わせで活用することにより、より患者様個々の生体に適合した治療プランを示すことが可能となりました。

 

画像は「デジタルスマイルデザイン(Degital Smile Design; DSD)」システムの一例です。顔貌のどの位置に上の前歯の先端(上顎前歯切縁)をもってくるのか、歯の形や色さえも画像上でシミュレーションを行ない、治療計画を立案するものです。当院が得意とする全顎補綴治療において、大いに役立つ診断ツールの一つです。

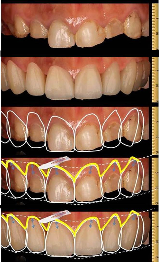
デジタルスマイルデザインで「クラウンレングスニング」を立案した一症例です。

  • 全顎補綴治療のためのスタートポイント

①顔貌から上顎中切歯切縁(前歯の先端)位置の決定

②口唇挙上に伴う前歯露出量の決定

③咬合平面および歯列弓の大きさの設定

④下顎位の設定(中心位)

 

この4つのポイントを押さえてさえいれば、治療は大筋から外れることはあり得ません。

 

尚、左図はデジタルスマイルデザインを用いた診断により、クラウンレングスニングという歯周外科処置を伴った被せ物の補綴治療を行なった際の、シミュレーション画像の一例です。治療範囲の決定にも有効であり、患者様と医療者側のイメージの共有ができます

診査・診断からセラミックスの被せ物まで、全てをデジタルで作製し、装着した患者様の3年後の治療経過です。歯周組織と人工生体材料が調和し、安定しています。

 

最新のデジタル医療技術を駆使した歯科治療をご検討の方は是非、グランツ歯科クリニックにご相談ください。咬合認定医・補綴専門医が相談させていただきます。

 

当店でご利用いただける電子決済のご案内

下記よりお選びいただけます。