流山の歯科医院で「チタン合金製フリクションピン テレスコープ」を用いた精密義歯治療を行なっております。

お問い合わせはこちら

ブログ

流山の歯科医院で「チタン合金製フリクションピン テレスコープ」を用いた精密義歯治療を行なっております。

2020/08/06

流山で「チタン合金製フリクションピン テレスコープ」を用いた精密義歯治療を行なっている歯科医院です。

生体適合性が高く、軽量で丈夫な歯科用金属「チタン」を使用しております。

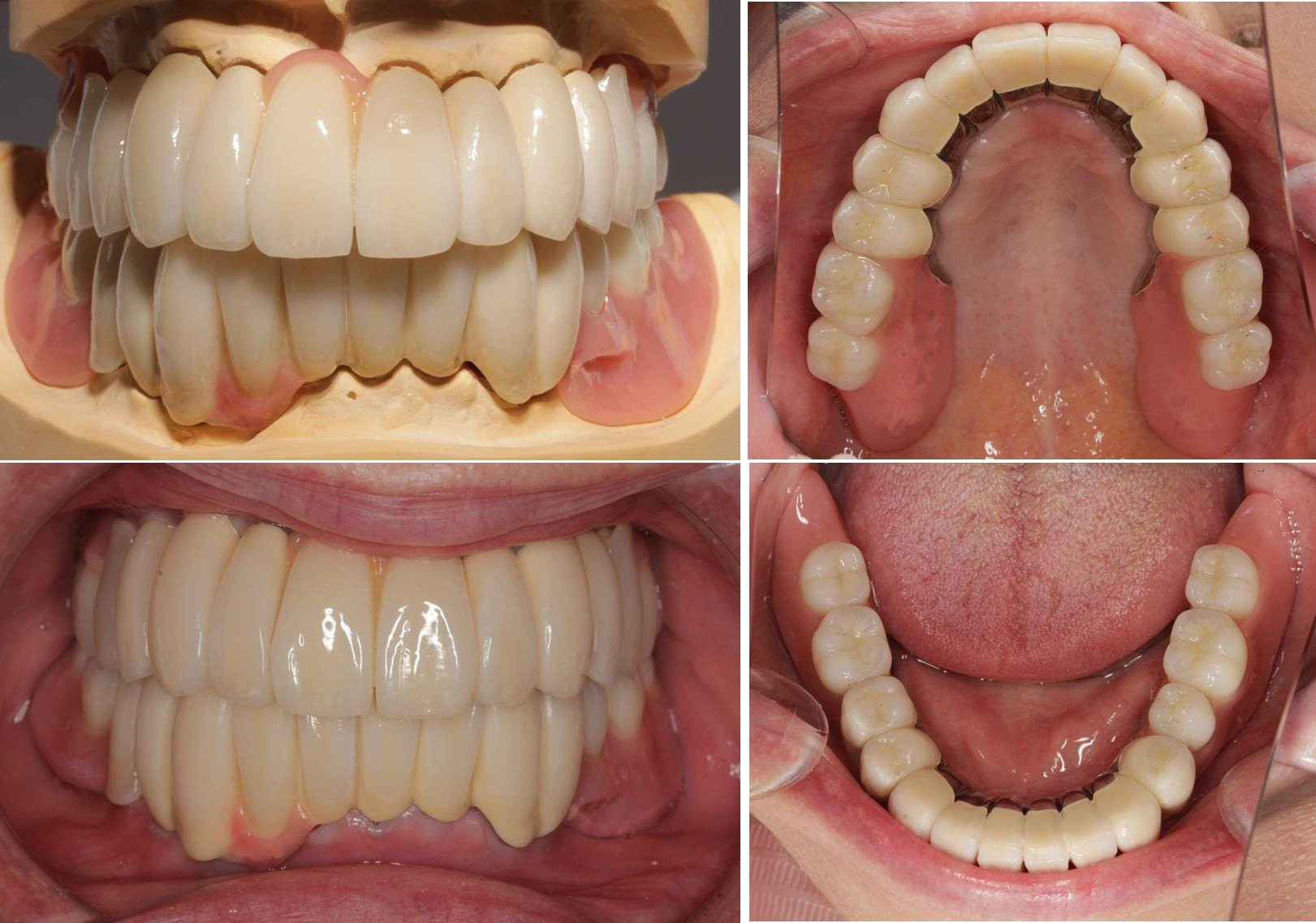
当院で2020年4月下旬にチタンフリクションピン コーヌステレスコープでの治療が完了した患者様の模型上及び、お口の中の様子です。使用金属は「チタン合金」で、歯の白い部分には「ハイブリッドセラミックス」を前装して、歯の形と色合いを再現してあります。

 

 これは「チタン スプリットピン(フリクションピン) コーヌステレスコープ」と呼ばれるドイツ式の入れ歯治療です。最先端技術である放電加工技術を駆使した最高難度の技工を担当して頂いたのは、群馬県の技工所「京王歯研」の技工士 飯塚様です。

 

 全ての歯の齲蝕を除去し、根管治療(歯内療法)を済ませてから補綴治療に移行しましたが、テレスコープによる全顎治療は、齲蝕治療・歯周治療・歯内治療・補綴治療含め、現在は概ね3~4ヶ月の治療期間を要しています

 

 バネが無く、しっかり噛める入れ歯「テレスコープ デンチャー(義歯)」の治療をご希望の方は是非、グランツ歯科クリニックまでご相談下さい。

 

術後の口元は自然観を取り戻しています。

テレスコープ義歯を装着

 

 

当店でご利用いただける電子決済のご案内

下記よりお選びいただけます。