流山の歯科医院でドイツ式の入れ歯である「テレスコープデンチャー」での治療をご提案しております。

お問い合わせはこちら

ブログ

流山の歯科医院でドイツ式入れ歯「テレスコープデンチャー」での治療法を提案しております。

2021/08/05

流山で「テレスコープデンチャー」によるドイツ式入れ歯治療が受けられる歯科医院です。

「質の良いドイツ式入れ歯」治療で人生を取り戻しませんか?

入れ歯についてのご相談やセカンドピニオンが多くなってきていますが、とりわけ、「テレスコープシステム」による義歯治療に関する問い合わせが増えてきています。

 

 当院グランツ歯科クリニックでは、ドイツ式の入れ歯治療に特化した歯科医療サービスを提供しております入れ歯治療の先進国であるドイツでは130年近くの歴史を誇る部分入れ歯の作製技術で、「テレスコープシステム」と呼ばれます。残存歯に金属製の保護キャップをして、更にその上に本来の歯の形を再現して歯を被せる方法のため、二重冠方式で歯に被せ物を装着して守る構造で、歯の強化を図ることができます。

 

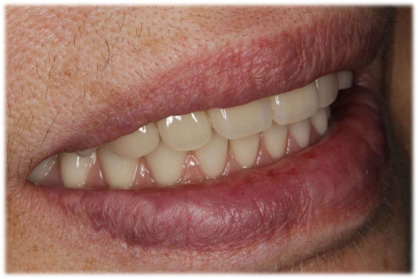
 テレスコープシステムの特徴としては、残存歯への負担や違和感が少なく、審美性も高いため、患者様からの高い評価を得ています。画像はテレスコープ義歯の一例です。作製には高度な技術と知識を要するため、この治療技術を正しく理解し提供できている歯科医院と技工所は少ないと言えます。流山市では唯一、テレスコープシステムを応用して提供させていただいております

 

  • 審美性が高く、入れ歯を装着していても気づかれない。
  • 残存歯への負担が少ない。
  • 歯にしっかりと固定され動かないので違和感が少ない。
  • ブリッジに近い感覚で噛める。
  • 患者様ごとの要望に応じた設計で作製可能。
  • 着脱が容易で、セルフケアがしやすい安心構造。
  • お口の中の変化に応じて調整し、長期使用が可能。

画像はテレスコープ義歯作製の流れです。

 

「合わない入れ歯」で長くお悩みの方は是非、グランツ歯科クリニックまでご相談ください。補綴専門医・IPSG咬合認定医が相談させていただきます。

 

※今のお使いの入れ歯のセカンドオピニオンも積極的に承っております。お気軽にご相談下さい。

 

テレスコープ義歯による治療は健康保険適用外となります。

 

当店でご利用いただける電子決済のご案内

下記よりお選びいただけます。