流山の歯科医院で「最新のセラミックスとテレスコープ」に特化した治療をしております。-Vol.⑧

お問い合わせはこちら

ブログ

流山の歯科医院で「最新のセラミックスとテレスコープ」に特化した治療をしております。-Vol.⑩

2021/08/10

流山で「最新のセラミックスとテレスコープ義歯」に特化した治療が受けられる歯科医院です。

顎口腔系の機能改善が、全身の健康に与える影響を考える時代です。-Vol.⑩

既に口の中に装着されている入れ歯や被せ物についての相談が増えてきています。

 

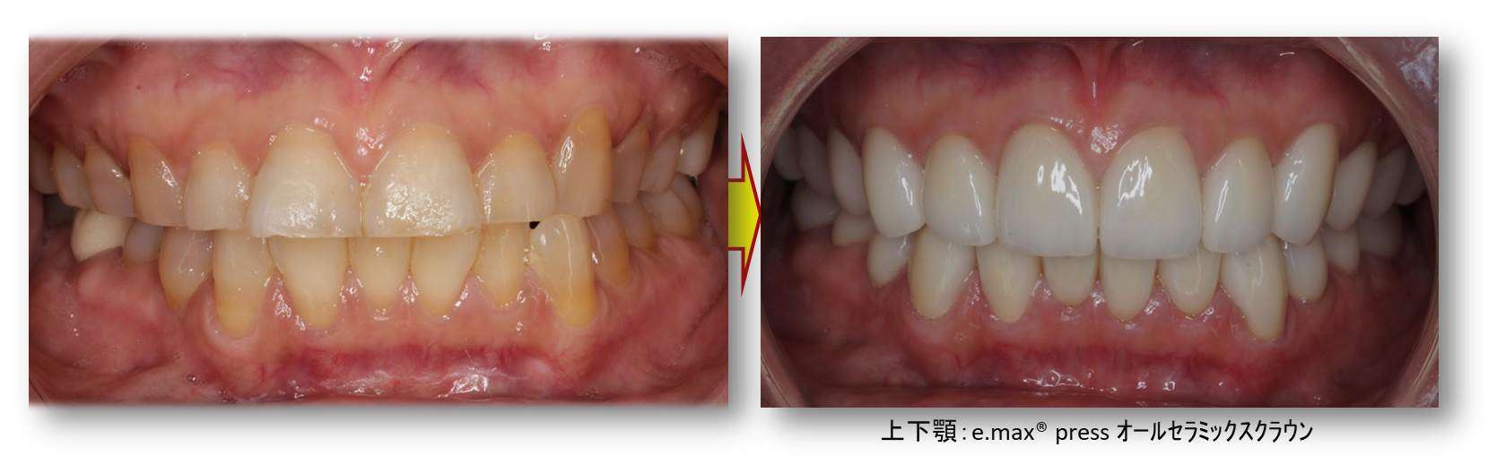
 画像は、酸蝕症・咬耗症が原因で歯が小さくなっているのが心配で受診された患者様の治療前後の写真です。齲蝕のみならず、長期に渡る消化器疾患と胃酸の逆流により、によって化学的に歯が溶け易くなり、固い毛によるブラッシングや歯ぎしり等の物理的な磨耗により、加速度的に歯が小さくなる傾向にあります。残存歯に負担が掛かり、状態も悪くなってきたため、意を決して治療に臨んでいただける機会を得ました。見た目も改善させ、前歯が奥歯への側方圧を分散し、奥歯が咬み合わせを作ることで前歯を守れるよう、効率よく咬合力を分散するような被せ物の設計をしなくてはいけません。

 

 他院で装着したオールセラミックス冠が1年と経たずして欠けてしまった患者様でした。歯牙形態と歯牙色の変更の度合いを勘案し、最善の治療方法を選択していただきました。歯科材料として、上下顎26歯に対してオールセラミックスシステムでの治療を選択しました。

・上下顎:オールセラミックス クラウン (IPS e.max® press)

(※本症例は東京都品川区の「JAW CRAFT」様にご担当していただきました。)

 

 当院グランツ歯科クリニックは、最新のファイン セラミックス材料であ「ジルコニア」だけでなく,透明性と強度を兼ね備えた二ケイ酸リチウムガラスセラミックス「IPS e.max🄬」を臨床応用し、欠損補綴には伝統的な「テレスコープシステム」に最新の放電加工技術を応用した義歯治療に特化した歯科医院です。

 

 健康保険適用のメタルフリー高分子材料である高強度レジンブロック「CAD/CAM冠」を活用した治療や、部分入れ歯・総義歯の治療や、ごく一般的なむし歯治療も行なっておりますので、お口の中のトラブルに関しては是非、グランツ歯科クリニックにご相談下さい。補綴専門医・IPSG咬合認定医が対応させていただきます。

 

当店でご利用いただける電子決済のご案内

下記よりお選びいただけます。