流山の歯科医院で「適切な歯ブラシ指導」により歯を守ることを推奨しています。

お問い合わせはこちら

ブログ

流山の歯科医院で「適切な歯ブラシ指導」により歯を守ることを推奨しています。

2021/09/25

流山で「適切な歯ブラシ指導」により歯を守ることができる歯科医院です。

「早期に」発見して、「早期に」介入することが重要です。

歯の削れ具合の相談が増えています。

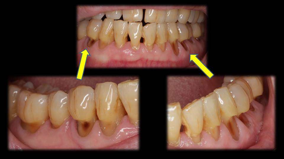
冷たいものがよくしみる」「歯ブラシが当たると痛いという症状でいらした患者様です。歯茎の際から側面の歯の立ち上がりが大きく削れているのが分かります。これを「楔状欠損」と言います。

酸蝕症・咬耗症の治療ができる歯科医院です。

初期症状の段階で介入することが重要です。

楔状欠損の成り立ち①

歯茎の際の部分が削れています

現代人が歯を失う原因としては皆様ご存じの通り「歯周病」と「虫歯」が挙げられます。2つの疾患は細菌性因子によるものです。実は近年では非細菌性に歯を失うことが増えてきています。企業によるキャンペーンも功を奏した結果、歯科に対する意識の高まりが見られ、口腔内を清潔に保つ目的で、懸命にブラッシングを頑張る方が多いように感じております。医療者の立場としては喜ばしい事なのですが、実はそこに落とし穴があったのです。「磨きすぎ」の問題です。

楔状欠損の成り立ち②

歯ブラシの形状と一致します

Dzakovichら(2008)は楔状欠損の成り立ちを実験モデルとして作製できることを立証しました。画像のように歯ブラシの毛先と楔状欠損の形状が一致します。これが元で冷水痛や擦過痛を主症状とした知覚過敏を惹起することがあります。もしお口の中で「私の歯、削れているかな?」というところがあれば、是非、グランツ歯科クリニックまでご相談ください。

 

当店でご利用いただける電子決済のご案内

下記よりお選びいただけます。