流山のグランツ歯科クリニックでは「ボロボロな歯ばっかりの口」でも治療が受けられます。

お問い合わせはこちら

ブログ

流山のグランツ歯科クリニックでは「ボロボロな歯ばっかりの口」でも治療が受けられます。

2025/03/27

流山のグランツ歯科クリニックではテレスコープとインプラントを用いた全顎補綴治療が受けられます。

「ボロボロな歯」を治して、口元から身体の健康を取り戻しませんか?

 当院、グランツ歯科クリニックには、健康保険適用内のバネ式入れ歯を使用して、お口の中がボロボロになってしまった患者様が多数来院されています。その殆んどが補綴難症例ですが、難症例な患者様ほど、テレスコープシステムによる義歯治療が非常に有効です。

 

バネ式入れ歯では歯を守ることが出来ず、クラスプと呼ばれるバネを掛けている歯から順番に悪くなってしまいます!

  「安かろう、悪かろう」で大事な身体の一部分である歯を1本でも失うのはもうやめにしませんか?

 

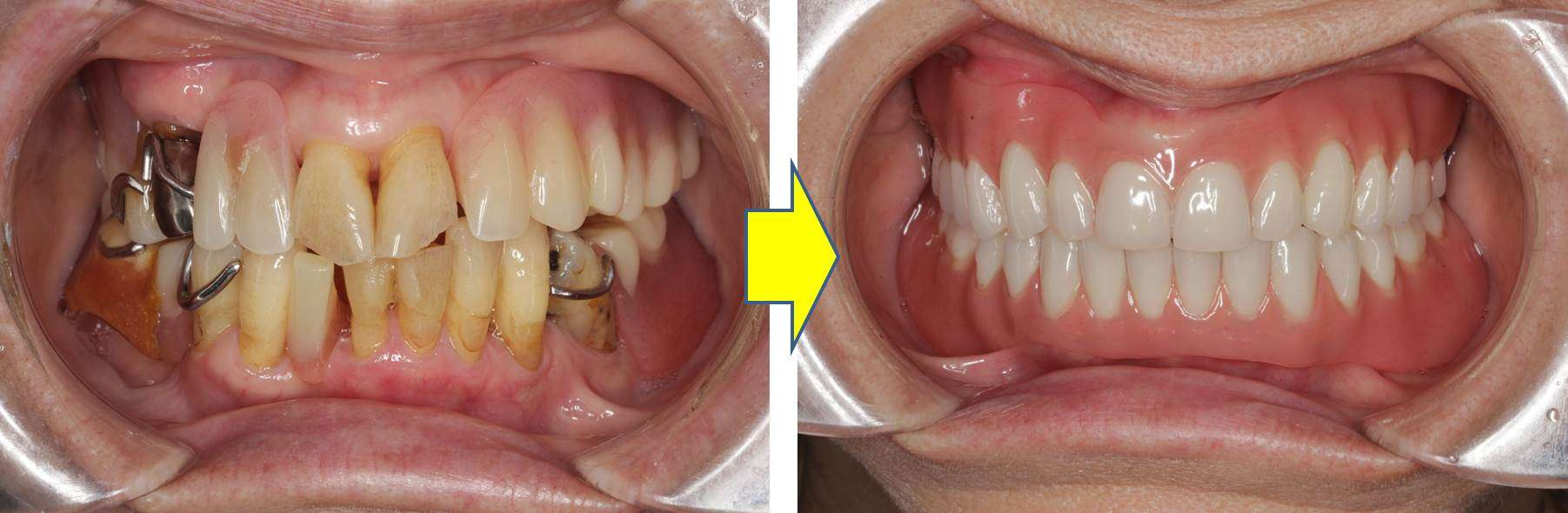
 写真は、歯周病で長く伸びてしまった歯をどうしても抜きたくなくて当院に受診された患者様です。御自身の歯を抜かない代わりに、インプラント2本を支えとして追加した「はめ込み式の入れ歯」である「コーヌステレスコープ」と「レジリエンツテレスコープ」です。上下に装着させて頂いてからまだ1年が経過した患者様の例ですが、バネ式の入れ歯ではありませんので、一度得られた歯並び、咬み合わせには変化がありません。当院にはテレスコープを用いた全顎補綴の長期症例が多数あります。

是非、御相談下さい。

 

※画像の治療:上顎フリクションピン コーヌス テレスコープ:220万円/ 下顎レジリエンツ テレスコープ:198万円 / 

        インプラント2本埋入:33万円×2本

 (テレスコープ義歯:Co-Cr-Mo合金,インプラント:SPI社を使用)

当店でご利用いただける電子決済のご案内

下記よりお選びいただけます。