流山のグランツ歯科クリニックでは「よく咬めて違和感が少ない」インプラントで支える最新のテレスコープ義歯の治療が受けられます。

お問い合わせはこちら

ブログ

流山のグランツ歯科クリニックでは「よく咬めて違和感が少ない」インプラントで支える最新のテレスコープ義歯の治療が受けられます。

2025/04/23

流山のグランツ歯科クリニックではインプラントとテレスコープを用いた最新式義歯の専門治療が受けられます。

「グラグラな歯とボロボロな入れ歯」を治して健康的で快適な生活を取り戻しませんか?

当院、グランツ歯科クリニックには、健康保険適用内のバネ式入れ歯や多数の銀歯を長年使用して、お口の中がボロボロになってしまった患者様が多数来院されています。その殆んどが欠損補綴難症例ですが、難症例な患者様ほど、ジルコニア セラミックスやインプラント、テレスコープをコンビネーションさせた最新式のテレスコープ義歯を用いた入れ歯の専門治療が非常に有効です。

 

バネ式入れ歯では歯を守ることが出来ず、クラスプと呼ばれるバネを掛けている歯から順番に悪くなってしまいます!

 安かろう、悪かろう」で大事な身体の一部分である歯を1本でも失うのはもうやめにしませんか

 

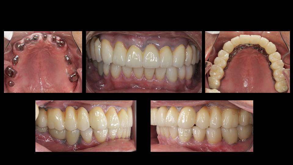
 写真は、虫歯や歯周病で歯がボロボロ・グラグラになってしまっても、お仕事も忙しく歯医者に長年通院できず、やっとの思いで当院に受診された患者様です。残念ながら、歯ぎしりや食いしばりで歯が割れている部分や、むし歯が大きすぎてボロボロで残せない歯は抜歯をして、部分的にインプラントを埋入して、テレスコープ義歯とジルコニア セラミックスを用いる最新式の入れ歯の専門治療を計画し、審美性と咀嚼機能の改善を図ることにしました。

 

セラミックスとインプラントを組み合わせたテレスコープ義歯の専門治療が受けられるのは「グランツ歯科クリニック」です。

次世代型CADCAMデジタルテクノロジーを駆使した最新式のテレスコープシステムでの治療を提供しております。

セラミックスとインプラントを組み合わせたテレスコープ義歯の専門治療が受けられるのは「グランツ歯科クリニック」です。

一度得た歯並び、咬み合わせ、安定感を長期に渡り変化させません。

最終補綴装置の設計としては「閂(カンヌキ)式の入れ歯」である「リーゲル テレスコープ」で治療させて頂きました。バネ式の入れ歯ではありませんので、一度得られた歯並び、咬み合わせ、装着感には長期に渡って変化がありません

 

 当院にはジルコニア セラミックス」「二ケイ酸リチウム ガラスセラミックス」を代表とした各種セラミックスの他、インプラントやテレスコープを用いた全顎補綴の長期症例が多数あります。既に埋入してある昔のインプラントも抜かずに活用できる場合がありますので、銀歯や入れ歯、インプラントでお悩みの方は是非、グランツ歯科クリニックに御相談下さい。

 

※画像の治療:補綴専門医である院長 岡本の治療となります

 岡本の治療担当日は日曜・祝日を除く全曜日です

 

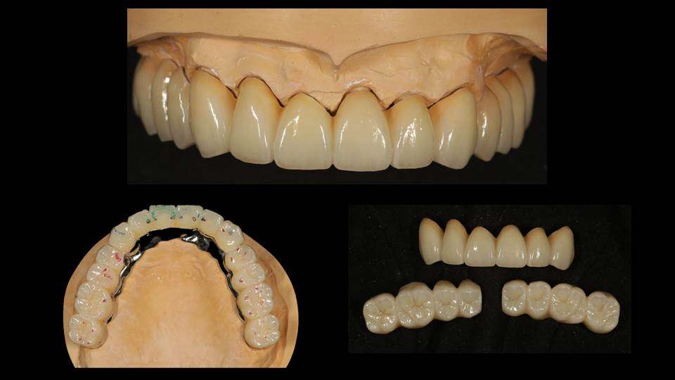
●上顎:リーゲル テレスコープ義歯(本体): 約240万円

    ジルコニア セラミックス前装加工:約60万円

    インプラント4カ所埋入:約30万円×4歯分=約120万円

 

●下顎:両側大臼歯部インプラント4カ所埋入:約30万円×4歯分=約120万円

    残存歯、およびインプラント上部 ジルコニア セラミックス冠:約15万円×14歯=約210万

(テレスコープ義歯:Co-Cr-Mo合金を使用 / インプラント:SPI社 CONTACT を使用)

 

◆総額:約750万円

※「臨床研究協力」または「症例供覧モニター協力」の場合、最大30%Offの治療費用となります。モニターとして治療をご希望される患者様は、詳細を担当ドクターからお伝えさせていただきますので、お気軽にお問い合わせください。

 

当店でご利用いただける電子決済のご案内

下記よりお選びいただけます。