流山のグランツ歯科クリニックでは「グラグラな歯やボロボロな入れ歯」でもテレスコープシステムでの専門医治療が受けられます。

お問い合わせはこちら

ブログ

流山のグランツ歯科クリニックでは「グラグラな歯やボロボロな入れ歯」でもテレスコープシステムでの専門医治療が受けられます。

2025/05/08

流山のグランツ歯科クリニックでは「インプラントとテレスコープ」を組み合わせたドイツ式義歯の専門治療が受けられます。

皆さん、「ボロボロな入れ歯」「グラグラな歯」を治して口元から身体の健康を取り戻しています!

当院、グランツ歯科クリニックには、健康保険適用内のバネ式入れ歯を使用して、お口の中がボロボロになってしまった患者様が多数来院されています。その殆んどが補綴難症例ですが、難症例な患者様ほど、インプラントとテレスコープシステムを組み合わせた入れ歯の治療が非常に有効です。

 

バネ式入れ歯では歯を守ることが出来ず、クラスプと呼ばれるバネを掛けている歯から順番に悪くなってしまいます!

  「安かろう、悪かろう」で大事な身体の一部分である歯を1本でも失うのはもうやめにしませんか

 

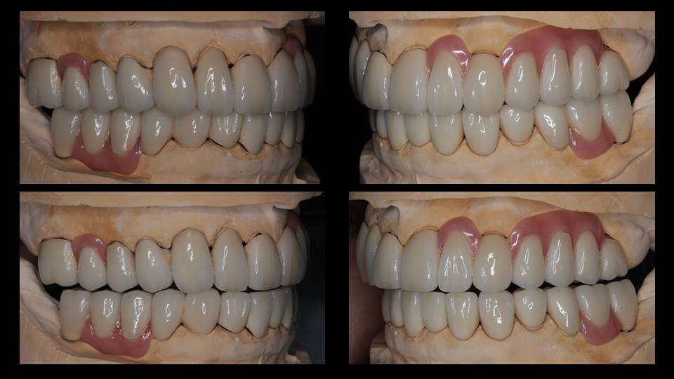
 写真は、歯周病が原因で抜歯になってしまった歯が多数あり、その後、バネ式入れ歯を装着したけれども「違和感が強くてつけていられない」という訴えがあり、当院にて相談の上、テレスコープ義歯による治療を希望された患者様の例です。

 インプラントを上顎に1カ所、下顎に2カ所支えとして追加した「茶筒式の入れ歯」である「コーヌステレスコープ」で治療させて頂きました。バネ式の入れ歯ではありませんので、一度得られた歯並び、咬み合わせ、装着感には変化がありません

 

※画像の治療:補綴専門医の岡本の治療となります。岡本の治療担当日は日曜・祝日を除く全曜日です

●上顎・下顎共にコーヌステレスコープ義歯: 約220万円×2床

●インプラント3カ所埋入: 約30万円×3カ所

 (テレスコープ義歯:チタン合金,インプラント:SPI社を使用)

 

インプラントを用いたテレスコープ義歯の専門治療が受けられるのは「グランツ歯科クリニック」です。

テレスコープなら、上あごを覆うあの「ピンクのプラスチック」はありません!

ブリッジのように口蓋(上あご)の生理的な部分を広く開放できるため、装着感に優れます。

 

既に他院で埋入された昔のインプラントや使用中の義歯も活用できる場合があります。

「臨床研究協力」または「症例供覧モニター協力」の場合、最大30%Offの治療費用となります。

当院にはインプラントとテレスコープを用いた入れ歯治療の長期症例が多数あります。既に他院で埋入された昔のインプラントや使用中の義歯も活用できる場合があります。

 

入れ歯やインプラントでお悩みの方は是非、グランツ歯科クリニックに御相談下さい。

 

「グランツ歯科クリニック」は流山市では唯一、歴史あるテレスコープシステムに最新のデジタル加工技術を応用し、地域の患者様に広く提供させていただいております

 


 

臨床研究協力」または「症例供覧モニター協力」の場合、最大30%Offの治療費用となります。モニターとして治療をご希望される患者様は、詳細を担当ドクターからお伝えさせていただきますので、お気軽にお問い合わせください。(健康保険適用外治療に限ります)

 


 

 

当店でご利用いただける電子決済のご案内

下記よりお選びいただけます。