流山のグランツ歯科クリニックでは「よく咬めて、見た目が良くて、違和感が少ない」テレスコープ義歯の専門治療が受けられます。

お問い合わせはこちら

ブログ

流山のグランツ歯科クリニックでは「よく咬めて、見た目が良くて、違和感が少ない」テレスコープ義歯の専門治療が受けられます。

2025/05/19

流山のグランツ歯科クリニックでは「ドイツ式入れ歯」であるテレスコープデンチャーを用いた専門医の治療が受けられます。

「ボロボロな入れ歯やグラグラな歯」を治して、口元から全身の健康を取り戻しませんか?

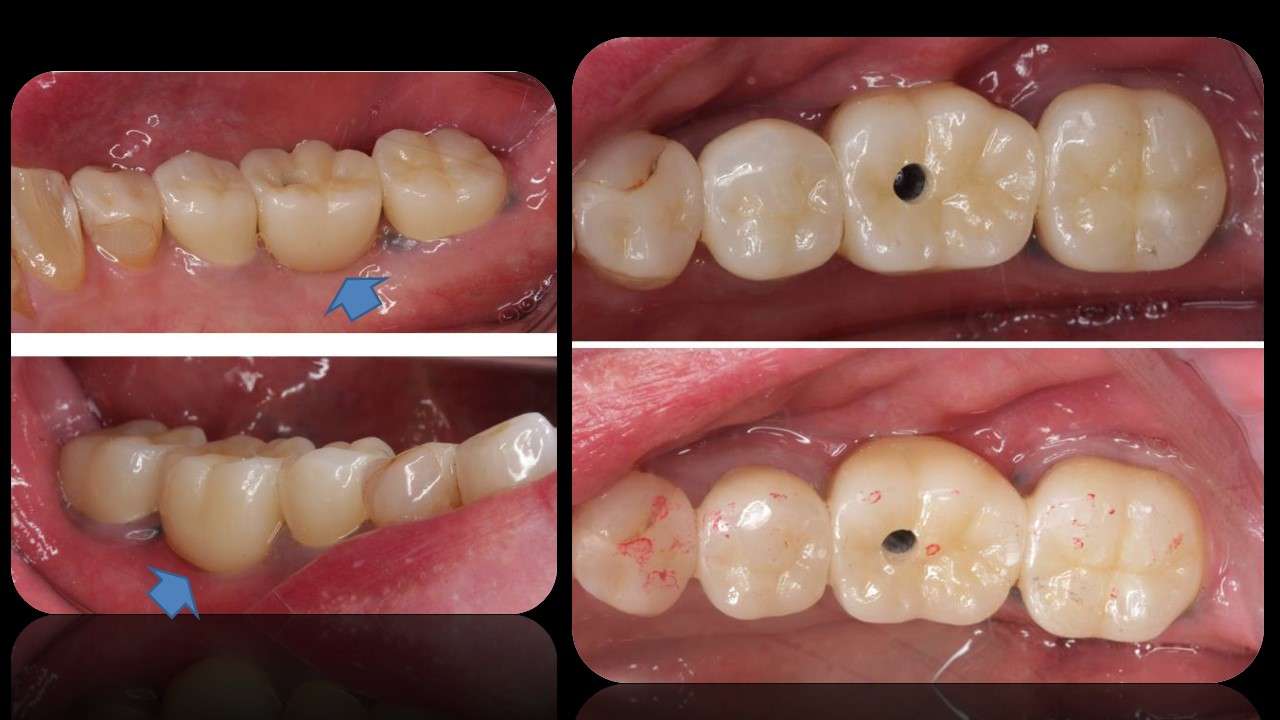
当院、グランツ歯科クリニックには、健康保険適用内の銀歯やバネ式入れ歯を使用して、お口の中がボロボロになってしまった患者様が多数来院されています。その殆んどが欠損補綴難症例ですが、難症例な患者様ほど、テレスコープシステムを用いた入れ歯の集中治療が非常に有効です。

 

バネ式入れ歯では歯を守ることが出来ず、クラスプと呼ばれるバネを掛けている歯から順番に悪くなってしまいます!

  「安かろう、悪かろう」で大事な身体の一部分である歯を1本でも失うのはもうやめにしませんか

 

 写真は、むし歯と歯周炎が進行してボロボロな歯と入れ歯になってしまった患者様を治療した際のテレスコープ義歯です。上顎は「はめ込み式の入れ歯」である「レジリエンツ テレスコープ」で、下顎は「閂(カンヌキ)式の入れ歯」である「リーゲル テレスコープ」で治療させて頂きました。バネ式の入れ歯とは違って、一度得られた歯並び、咬み合わせ、装着感は長期に渡って変化がありません

 

「グランツ歯科クリニック」は流山市では唯一、歴史あるテレスコープシステムに最新のデジタル加工技術を応用し、地域の患者様に広く提供させていただいております

 

入れ歯やインプラントでお悩みの方は是非、グランツ歯科クリニックに御相談下さい。

 

 

※画像の治療:補綴専門医である院長 岡本の治療となります。

岡本の治療担当日は日曜・祝日を除く全曜日です

●上顎 レジリエンツ テレスコープ義歯:約170万円

●下顎 リーゲルテレスコープ義歯(片側設計):約90万円

 (テレスコープ義歯:コバルトクロム合金を使用)

 

◆総額:約260万円

 


 

臨床研究協力」または「症例供覧モニター協力」の場合、最大30%Offの治療費用となります。モニターとして治療をご希望される患者様は、詳細を担当ドクターからお伝えさせていただきますので、お気軽にお問い合わせください。(健康保険適用外治療に限ります)

 


 

 

 

流山市では唯一、歴史あるテレスコープシステムに最新のデジタル加工技術を応用し広く提供させて頂いております。

入れ歯やインプラントでお悩みの方は是非、グランツ歯科クリニックに御相談下さい。

当店でご利用いただける電子決済のご案内

下記よりお選びいただけます。