流山・柏地域でセラミックスを用いた酸蝕症の専門治療をしております。

お問い合わせはこちら

ブログ

流山の歯科医院でセラミックスを用いた酸蝕症の専門治療をしております。

2020/01/10

セラミックスを用いた酸蝕症の専門治療の相談も承っております。

「歯が溶ける!?」 本当は怖い酸蝕症のその後…

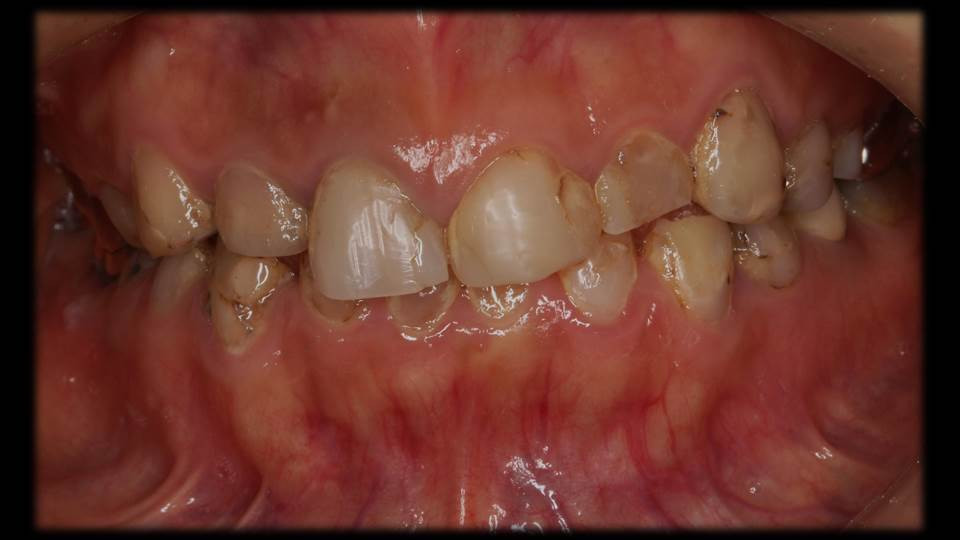
治療前のお口の中の様子①

下の前歯が小さくなっています。

酸性食品の過剰摂取胃酸の逆流現象で生じる口腔内の酸性化により「歯が溶ける」ことが近年分かってきました。嘔吐反射などがあると,特に下の前歯は胃液の強酸に曝露することが多く,写真のように歯が溶けて小さくなってしまうこともあります。

治療前のお口の中の様子②

お口全体のバランスが乱れています。

上下の歯を咬み合わせた状態です。お顔の正中のラインに揃えて写真を撮っているのですが,上下の歯の方向や歯茎ラインの乱れが生じた関係で,咬み合わせ歯並びを含めた口の中のバランスが悪くなっている状態です。金属アレルギーもあるため材料選択も制限がありましたが,セラミックス材料での咬合再構成の治療計画を立案しました。

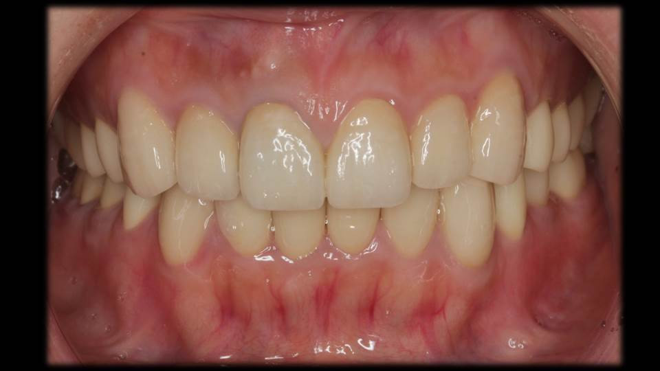
治療後のお口の中の様子

お口の中のバランスがとれています。

全体的にセラミックスの被せ物で治療を行なって1年経過した時の写真です。歯茎の状態も良く,歯並び・咬み合わせ共に安定しています。定期検診・慎重な経過観察が重要です。

 

酸蝕症に伴う知覚過敏症状でお悩みの方セラミックス材料を用いた治療をご検討の方は是非,グランツ歯科クリニックまでご相談ください。咬合認定医・補綴専門医が相談させていただきます。

当店でご利用いただける電子決済のご案内

下記よりお選びいただけます。