流山・柏地域の歯科医院で歯の白斑の治療をしております。

お問い合わせはこちら

ブログ

流山の歯科医院で歯の白斑の治療をしております。

2020/01/13

流山・柏地域で「歯の白斑」の治療が受けられます。

「ベニア」という治療法の選択があります。

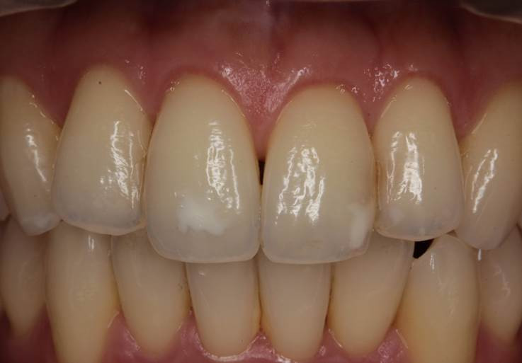
治療前のお口の中の様子

前歯部に白斑が見られます。

 歯に白斑があることで相談を受けました。これは歯の表面のエナメル質からカルシウムが抜ける「脱灰」のためで,「ホワイトスポット(白斑)」と呼ばれます。カルシウムがエナメル質から抜ける原因はいくつかあります。ホワイトスポットの原因には遺伝幼少期の栄養不足幼少期に外傷を受けたフッ素濃度の濃い飲料水を常用虫歯の初期症状などが挙げられます。

 名のある有名歯科医院にて、イオン導入法やプラズマレーザー治療法を施術されたようでしたが、やはり白斑が消失しないということで、当院では「ベニア治療」が採用されました。

治療後のお口の中の様子

前歯2本の白斑が見えなくなりました。

 二ケイ酸リチウムガラスセラミックス e.max(Ivoclar Vivadent社)によるベニア治療です。麻酔も不要な程度のエナメル質内での切削量で行なうため、非常に低侵襲で済ませています。セメント材料や接着技法の進歩によりベニア治療は世界的に流行する傾向にあります。

 白斑が気になっている方は是非、グランツ歯科クリニックまでご相談ください。

当店でご利用いただける電子決済のご案内

下記よりお選びいただけます。