流山の歯科医院で高分子材料「レジン」を用いた歯科治療を行っております。

お問い合わせはこちら

ブログ

流山の歯科医院で高分子材料「レジン」を用いた歯科治療を行っております。

2020/03/02

流山で高分子材料「レジン」を用いた歯科治療が受けられます。

「ダイレクトボンディング」という治療技術です。

 以前に治療した詰め物の色が変色して気になるという御相談が増えてきています。また、既に入っている銀歯を白く出来ないか、という相談や、他院で型取りする前の段階で装着する材料のセカンドオピニオンで来院される患者様が増えています。

 

 当院では、高分子材料である「レジン」を積極的に治療に活用しております。レジン系材料の利点は、歯の切削量が最小限で済むので、銀歯に比べ、極力ご自身の歯を保存できるという点が挙げられます。また、特殊な治療手技を必要とせず、LED光で硬化するため、簡便かつ容易な治療法として臨床応用されています。しかし、簡便であるからこそ、術者(歯科医師)の技量が治療結果に顕著に表れ、予後にも影響するとも言えます。

容易かつ簡便であるからこそ、技術力に差が表れます。

確立された接着システムが重要です。

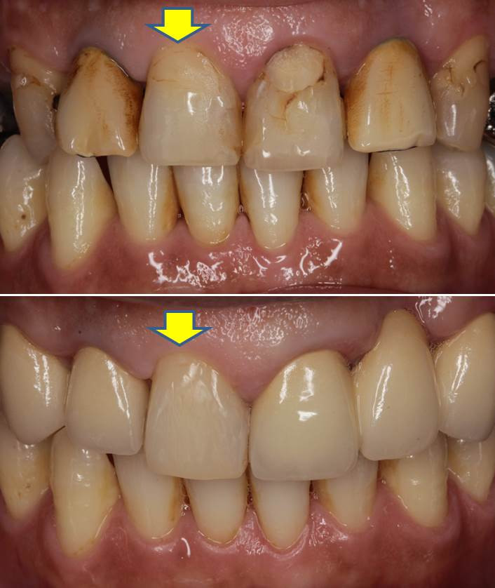
 画像は右上1番(矢印部分の前歯)を「ダイレクトボンディングテクニック」にてレジン系高分子材料で治療した例です。術前の上の画像では、古いレジンが変色し、う蝕に罹患している部分もありましたが、最小限の切削でとどめることができ、レジンにてその場で治療を完了させることができました

※両隣やその他の歯はメタルボンドクラウン(金属フレーム上にセラミックスを焼き付けた被せ物)で治療しています。

 

 簡単に扱える材料であるからと言って、簡略して治療を済ませてしまう歯科医師がいるのも事実です。レジンを用いた治療の成功には確立された接着システムが必須です。当院では‟綺麗に調和した形で長く使える“よう努めておりますので、レジンを用いた治療の相談は是非、グランツ歯科クリニックまでご相談ください。

 

当店でご利用いただける電子決済のご案内

下記よりお選びいただけます。