流山の歯科医院で「オフィス ホワイトニング」で歯を白くする治療を行っております。

お問い合わせはこちら

ブログ

流山の歯科医院で「オフィス ホワイトニング」で歯を白くする治療を行っております。

2020/03/03

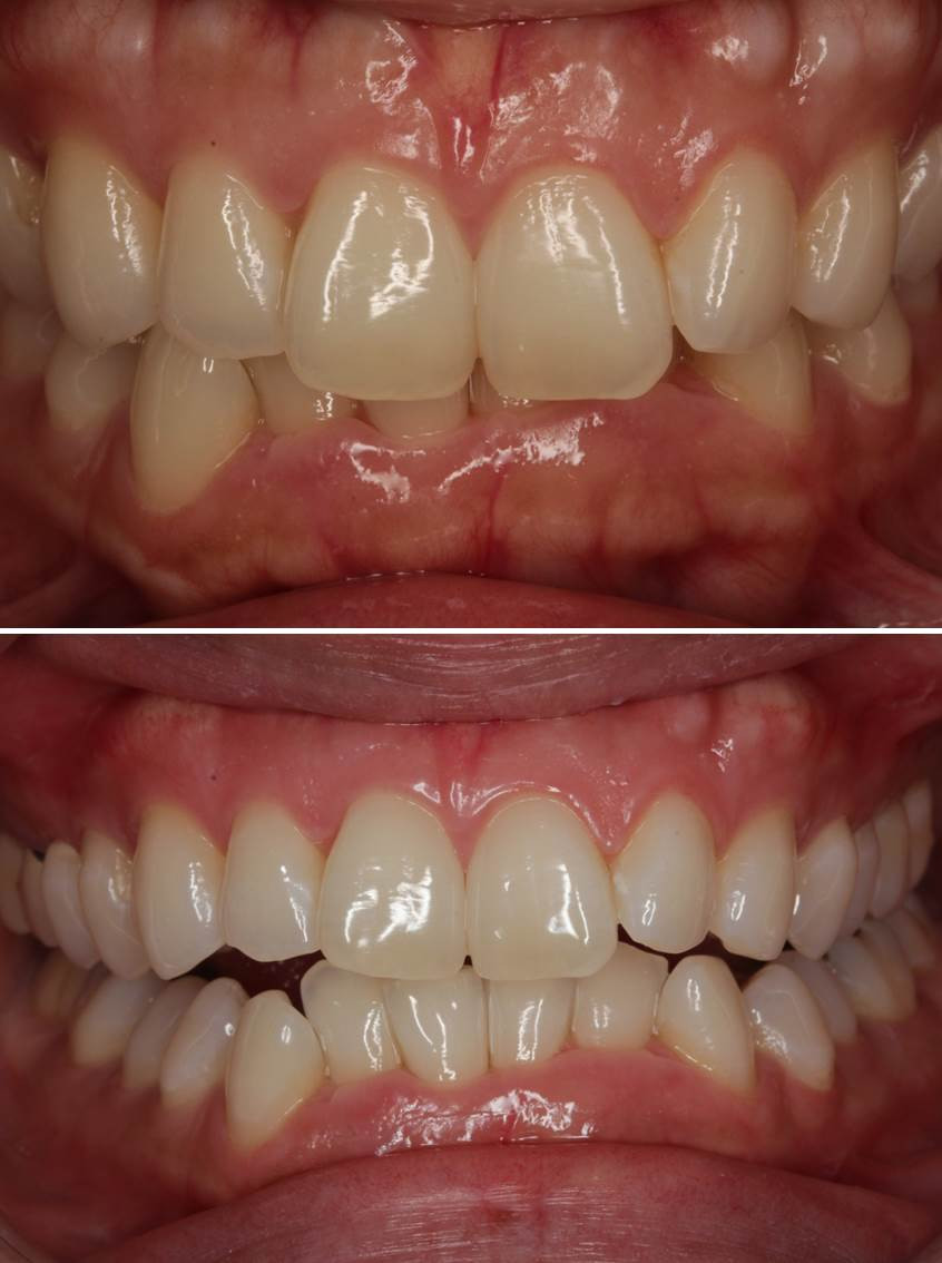
流山で「オフィス ホワイトニング」で歯を白くする治療が受けられる歯科医院です。

削らずに歯を白くする唯一の方法です。

 「削らずに歯を白くしたい」というご要望が多くなってきています。歯を削らずにご自身の歯を白くする唯一の方法は、「ホワイトニング」という治療方法です。自宅でマウスピースに薬液を入れて一日数時間を連続で数日の間装着することで歯を白くする「ホームホワイトニング」と、歯科医院にて専用の機械を用いて1.5時間程度かけて行なう「オフィスホワイトニング」があります。一般的にはオフィスホワイトニングの方が美白(漂白)効果が大きく、評判が良いようです。

 

 画像は術前・術後の写真です。「削らずに歯を白くしたい」という方は是非、グランツ歯科クリニックまでご相談ください。

 

当店でご利用いただける電子決済のご案内

下記よりお選びいただけます。