流山の歯科医院で「テレスコープ」を用いた入れ歯の治療を行っております。

お問い合わせはこちら

ブログ

流山の歯科医院で「テレスコープ」を用いた入れ歯の治療を行っております。

2020/03/13

流山で「テレスコープ義歯」を用いた入れ歯の専門治療が受けられる歯科医院です。

軽量で丈夫な金属「チタン」のフレーム上にハイブリッドセラミックスを使用します。

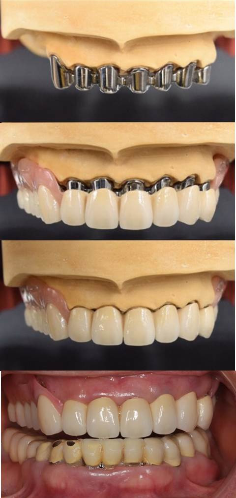
 グランツ歯科クリニックは2019年10月7日に開院致しましたが、11月頃から治療を開始し、2020年3月初旬に「テレスコープシステム」での治療が完了した患者様の模型上及び、お口の中の様子です。右上3番~左上4番までの7歯残存の症例です。使用金属は「チタン合金」で、歯の白い部分には「ハイブリッドセラミックス」を前装して、歯の形と色合いを再現してあります。

 

 これは「チタン スプリットピン(フリクションピン) コーヌステレスコープ」と呼ばれるドイツ式の入れ歯治療です。最先端技術である放電加工技術を駆使した最高難度の技工を担当して頂いたのは、群馬県の技工所「京王歯研」様です。

 

 全ての歯の齲蝕を除去し、根管治療(歯内療法)を済ませてから補綴治療に移行しましたが、テレスコープによる全顎治療は、齲蝕治療・歯周治療・歯内治療・補綴治療含め、現在は概ね3~4ヶ月の治療期間を要しています

 

 バネが無く、しっかり噛める入れ歯「テレスコープ デンチャー(義歯)」の治療をご希望の方は是非、グランツ歯科クリニックまでご相談下さい。

 

当店でご利用いただける電子決済のご案内

下記よりお選びいただけます。