流山の歯科医院で「セラミックス」と「テレスコープ」を用いて歯並び・かみ合わせの改善を行っております。

お問い合わせはこちら

ブログ

流山の歯科医院で「セラミックス」と「テレスコープ」を用いて歯並び・かみ合わせの改善を行っております。

2020/03/14

流山で「セラミックス」と「テレスコープ」を用いた歯並び・かみ合わせの治療が受けられる歯科医院です。

術前・術後の診査、診断が重要です。

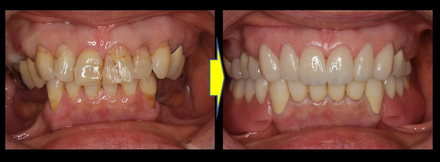
 ​​​​​​グランツ歯科クリニック2019年10月7日に開院致しましたが、11月頃から治療を開始し、2020年2月下旬に治療が完了した患者様の、治療前後のお口の中の様子です。

 

 前から見た際に見える歯並びは横一線になっており、咬合平面のバランスが図れています。舌背(舌の上側の部分)が平面と同じ高さになるように歯の高さを設定することで、食べ物の流れが良くなります。逆に、咬合平面が乱れていると、歯で噛み切った食べ物の流れが悪くなり、舌の動きにも左右差が生じ、摂食嚥下に影響を及ぼす可能性があるため、注意が必要です。

流山で「セラミックス」と「テレスコープ」を用いた歯並び・かみ合わせの治療が受けられる歯科医院です。

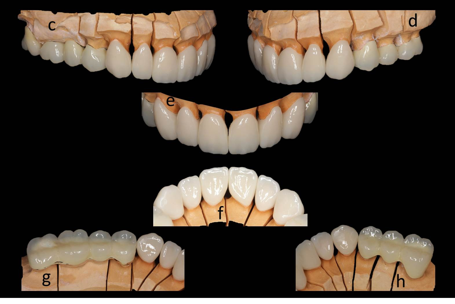
上顎の「セラミックス」の被せ物を装着前に評価します。

 前歯部は「二ケイ酸リチウムガラスセラミックス」で作製されたe.max CADです。臼歯部は貴金属合金にセラミックスを焼き付けたクラウンおよびブリッジです。

 

 装着前に、適合性や形態、色彩の確認だけでなく、清掃不良な形態となっていないか歯間ブラシやフロスなどの補助的清掃用具が無理なく使用できるか、等々、チェックポイントの確認をさせていただきます。本症例の上顎の技工は柏市でご開業の技工士「大森毅己」先生にお願いさせていただきました。

流山で「セラミックス」と「テレスコープ」を用いた歯並び・かみ合わせの治療が受けられる歯科医院です。

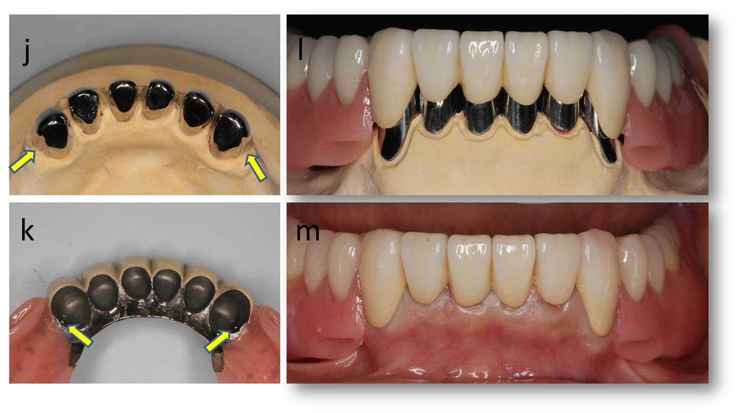
テレスコープシステムによる最先端の入れ歯の治療方法です。

 下顎には「チタン スプリットピン(フリクションピン) コーヌステレスコープ」と呼ばれるドイツ式の義歯が装着されました。最先端技術である放電加工技術を駆使した最高難度の技工を担当して頂いたのは、群馬県の技工所「京王歯研」様の技工士 飯塚ゆうじ 先生です。

 

 歯が残っている部分と欠損している部分を一体型のブリッジのように繋げることで入れ歯が安定し、咬む力を歯と歯茎に伝播するように、設計してあります。

流山で「セラミックス」と「テレスコープ」を用いた歯並び・かみ合わせの治療が受けられる歯科医院です。

放電加工技術を駆使した最高難度の技工です。

 チタン合金製の「フリクションピン コーヌステレスコープ」です。ハイブリッドセラミックスを前装材料としています。歯科医療技術としては最高峰の治療法となります。歯科技工士と歯科医師の高いレベルでの知識と経験の結晶でなせる治療です。

 

 合わない入れ歯を長く使用しており、歴史あるテレスコープ治療と、最新の精密加工技術を組み合わせた歯科治療を受けたい方は是非、グランツ歯科クリニックに御相談ください。補綴専門医・咬合認定医が相談させていただきます。

 

当店でご利用いただける電子決済のご案内

下記よりお選びいただけます。