流山の歯科医院で小児の反対咬合の治療のアドバイスをしております。

お問い合わせはこちら

ブログ

流山の歯科医院で小児の反対咬合の治療のアドバイスをしております。

2020/03/20

流山で小児の反対咬合の治療のアドバイスをしている歯科医院です。

「幼児のヘラ押し指導」を知っていますか?

 子供の歯並びの相談が増えてきています。乳歯の歯並びがそのまま永久歯の歯並びに反映されるわけではありませんが、何らかの影響が永久歯列に出ると考えるべきだと思います。

 

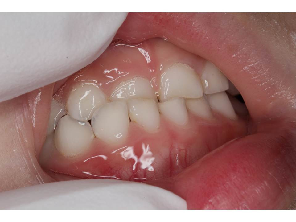
 上の前歯が下の前歯より内側に位置し、逆になっている場合には「反対咬合」と言います。上の前歯と下の前歯が交叉している場合には「交叉咬合」と言います。親御さんから見ても、見た目から簡単にわかります。画像は、当院に受診された幼児で、3本の上の前歯が下の前歯に隠れてしまう交叉咬合の状態でした。

流山で小児の反対咬合・交叉咬合の治療のアドバイスができる歯科医院です。

「ヘラ押し指導」で矯正治療をしなくても治ることがあります!

 カップアイスを食べる時に使用する木製のヘラを用いて治療した、という報告です。反対になっている前歯を下の写真のように、3秒ずつ50回繰り返し、1日3セットを6か月程度続けて改善した臨床例に基づいた論文です。

 

https://www.jstage.jst.go.jp/article/jspd1963/45/4/45_546/_pdf/-char/ja

ヘラ押し指導で改善することがあります。

「3秒ずつを50回、1日3セットを数カ月間」継続してみてください。

 治療開始のタイミングとしては、ご両親が気にした時点や、健診などで指摘された時点で、早期に治療をはじめることを推奨しています。 他の歯科医院様によっては、「自然に治るかもしれない」、「永久歯がはえるまで様子をみましょう」と言われる場合もありますが、当院では、安易に経過観察をすることは推奨していません。

 

 お子様の正しい成長を第一に心配されて御両親は歯科医院を受診されると思います。親御様達の要望に耳を傾け、可能な限り対応するという考えのもとに、グランツ歯科クリニックでは、お子様の歯並びの相談や虫歯予防に対して、早期に対応するようにしております。

 

当店でご利用いただける電子決済のご案内

下記よりお選びいただけます。