流山のグランツ歯科クリニックは「ナイロン義歯」や「スマイルデンチャー」を推奨しません。

お問い合わせはこちら

ブログ

流山のグランツ歯科クリニックは「ナイロン義歯」や「スマイルデンチャー」を推奨しません。

2020/03/22

流山のグランツ歯科では「ナイロン義歯」や「スマイルデンチャー」を推奨しておりません。

容易に変形してしまう素材の為害性を考慮すべきです。

 入れ歯に関する相談が多くなっています。結論から申し上げますと、当院グランツ歯科クリニックでは「ナイロン義歯」や「スマイルデンチャー」といったをポリアミド系樹脂材料の入れ歯を推奨していません。(患者様から強い要望があった場合にやむなく選択することはあります)

 

 画像のようにたわむことで柔らかさをセールスポイントとしているようですが、歯茎よりも固い素材であるため、実際の口腔内では噛みしめた際には入れ歯の樹脂と歯茎の下にある骨に歯茎が挟まれて傷を作り、義歯性口内炎を作ることが多いのです。

流山のグランツ歯科では「ナイロン義歯」や「スマイルデンチャー」を推奨しておりません。

たわむことで義歯性潰瘍を生じることがあります。

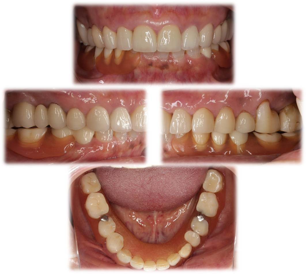
 画像の患者様も下顎にナイロンデンチャーを使用しており、入れ歯の人工の歯の部分には対合歯とは咬み合わせていないにも関わらず、義歯性潰瘍を生じ続けておりました。

 

 「たわむ」≠「やわらかい」≠「歯茎に傷を作らない」ということを理解した上で歯科医師が説明したのか疑問が残ります。

流山のグランツ歯科では「ナイロン義歯」や「スマイルデンチャー」を推奨しておりません。

長期の使用で顎堤・顎骨の異常吸収の可能性があります。

 長期に使用することで顎堤(歯茎)や顎骨の異常吸収を生じることがあります。画像のレントゲン写真のように、臼歯部(奥歯)の顎骨が減り、スキーのジャンプ台のようになってしまっています。使用が出来ていても、気付かない間に経年的に身体に負担が生じている可能性があります。

 

 合わない入れ歯でお悩みの方は是非、グランツ歯科クリニックまでご相談ください。

 

当店でご利用いただける電子決済のご案内

下記よりお選びいただけます。