流山の歯科医院で「伝統的なコーヌステレスコープ」を用いた治療をしております。

お問い合わせはこちら

ブログ

流山の歯科医院で「伝統的なコーヌステレスコープ」を用いた治療をしております。

2020/04/03

流山で伝統的なコーヌステレスコープを用いた治療が受けられます。

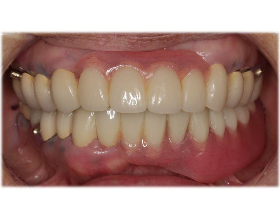
ゴールド(Au)を85%以上含有する金合金によるテレスコープ義歯です。

 当院グランツ歯科クリニックでは、健康保険適用内のバネ式入れ歯を希望する患者様にこそ、テレスコープシステムによる義歯治療をお勧めしております。バネ式入れ歯では歯を守ることが出来ず、クラスプと呼ばれるバネを掛けている歯から順番に悪くなってしまうためです。「安かろう、悪かろう」大事な身体の一部分である歯を1本でも失うのはやめにしませんか?

 

 写真は茶筒方式の義歯であるコーヌステレスコープです。上下に装着させて頂いた患者様の例です。

バネ式ではない、茶筒方式で安定するコーヌステレスコープによる治療が受けられます。

動くことなく安定し、バネを不使用のため見た目にも優れます。

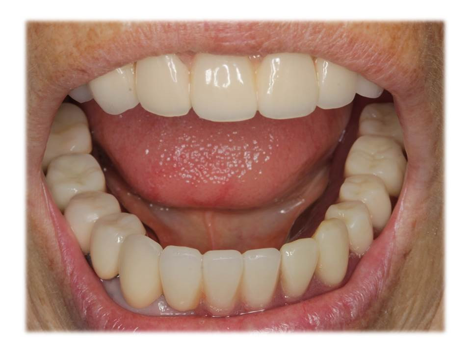
 お口の中にコーヌステレスコープ義歯を装着した際の様子です。奥の方に見える出っ張りは取り外し用の金属ノブですが、バネ式ではないため、お口をあけた際にも見た目の心配はありません。審美性にも優れますし、ブリッジのように被せる形で安定しますので、噛みしめても、嗽いをしても、大きくあくびをしても動くことはありません。

テレスコープシステムを用いた治療が流山のグランツ歯科クリニックで受けられます。

バネ式入れ歯の為害性を考えなくてはいけません。

 バネ式入れ歯の欠点は、グニャグニャと動いてしまうために歯を揺さぶってしまい、バネを掛けている歯から失ってしまうことにあります。また、マグネット(磁石)式の入れ歯では、入れ歯が垂直的に離れようとする力には抵抗力はありますが、最も大きな問題である入れ歯の横揺れの際には、容易に外れてしまうという欠点があります。また、磁性は経年的に失われていくことと、熱で弱くなる傾向にあります。

 

 当院ではテレスコープシステムを用いた義歯治療に特化した医療サービスを提供しております。合わない入れ歯で長くお悩みの方は是非、グランツ歯科クリニックまでご相談下さい。咬合認定医・補綴専門医が相談させていただきます。

 

当店でご利用いただける電子決済のご案内

下記よりお選びいただけます。