流山の歯科医院でジルコニアセラミックスを用いた治療が受けられます。

お問い合わせはこちら

ブログ

流山の歯科医院でジルコニアセラミックスを用いた治療が受けられます。

2020/04/04

流山で「ジルコニアセラミックス」を用いた治療が受けられ歯科医院です。

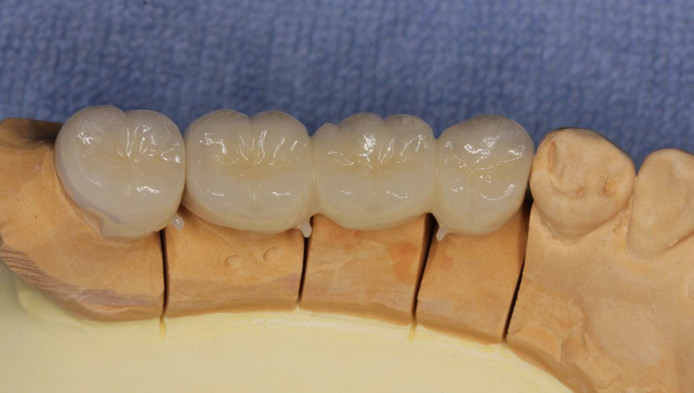
1,200MPaもの曲げ強さを有するジルコニアでフレームを作製したセラミックスです。

 「セラミックス材料」を用いた治療に関する問い合わせが増えてきています。当院では症例ごとに適応症を見極め、種々のセラミックス材料を用いて治療に活用しています。中でも「ジルコニアセラミックス」を用いた治療を得意としており、審美性と強度を兼ね備えた生体材料をお勧めさせていただいております。

 咬合面(咬む面)には歯が本来有する色合いと形態を再現する「ポーセレン」を焼き付けています。「ポーセレン」自体の曲げ強さは実は高くないのですが、フレーム材料である「ジルコニア」を高強度にすることで物性を高めているのです。クラウン(1歯の被せ物)だけでなく、ブリッジにも応用される程の強度が確保されています。

 セラミックスを用いた治療を検討されている方治療中であるけれども材料選択で迷っている方生体にとって安全な材料を選択したい方は是非、グランツ歯科クリニックまでご相談ください。

 

ジルコニアに代表されるセラミックスを用いた治療健康保険適用外です。担当医、またはクリニックまでご相談下さい。

当店でご利用いただける電子決済のご案内

下記よりお選びいただけます。