流山の歯科医院で「舌痛」「舌癖」の原因を咬み合わせや歯並びの面から精査しております。

お問い合わせはこちら

ブログ

流山の歯科医院で「舌痛」「舌癖」の原因を咬み合わせや歯並びの面から精査しております。

2020/04/06

流山で「舌痛」「舌癖」の原因を咬み合わせや歯並びから治療している歯科医院です。

その舌の痛み、歯科治療が原因かもしれません。

 近年の歯科界における医用材料の進歩に伴い、先端材料が臨床応用され、医療現場で日常的に普及してきています。その代表格である「セラミックス」材料ですが、根本的な問題に目を向けない材料選択・治療方針により評判を落としている事例が散見されます。本ブログにて一例をお示し致します。

 

 画像は、舌先部の紅斑と痛みで相談にいらした患者の症例です。舌先は赤くスジが入っているのが見られ、舌側縁部(舌の横の部分)が凸凹とし、奥歯の側面の形に陥凹しているのが見られます。

流山で「舌痛」「舌癖」の原因を咬み合わせや歯並びから治療している歯科医院です。

その舌の痛み、前歯の被せ物が原因かもしれません。

 左の画像は正面観ですが、一見すると綺麗に治療されているように見えます。上下の前歯12本がセラミックスの被せ物で治療が施されているのですが、右の画像を見ると、咬合時(上下の歯を合わせた時)に、上下の前歯が嚙み合っておらず、僅かに隙間である状態です

 

 我々歯科医師は、上下の歯を咬み合わせた際に前方の歯がすいた状態を「オープンバイト(開咬)」と呼びますが、この写真の状態では「補綴的オープンバイト」と呼び、問題があるかみ合わせ・歯並びの状態と捉えています。

 

 本症例では、上下の前歯に出来る僅かなスペースに、舌を緊張させて舌先を無意識のうちに隙間に押し込み、口腔内の乾燥を防いでいた、と予想致しました。通常は、リラックスした舌の場合、舌先部は上の前歯の裏側の歯茎にある切歯乳頭部に触れている状態で弛緩していることが望ましいとされています。緊張状態が続いていた為、舌の側面が歯奥に押し付けられて、舌痛の原因になっている可能性が高いと判断致しました。

流山で「舌痛」「舌癖」の原因を咬み合わせや歯並びから治療している歯科医院です。

前歯は前からの見た目だけでなく「裏側の見た目」も重要です。

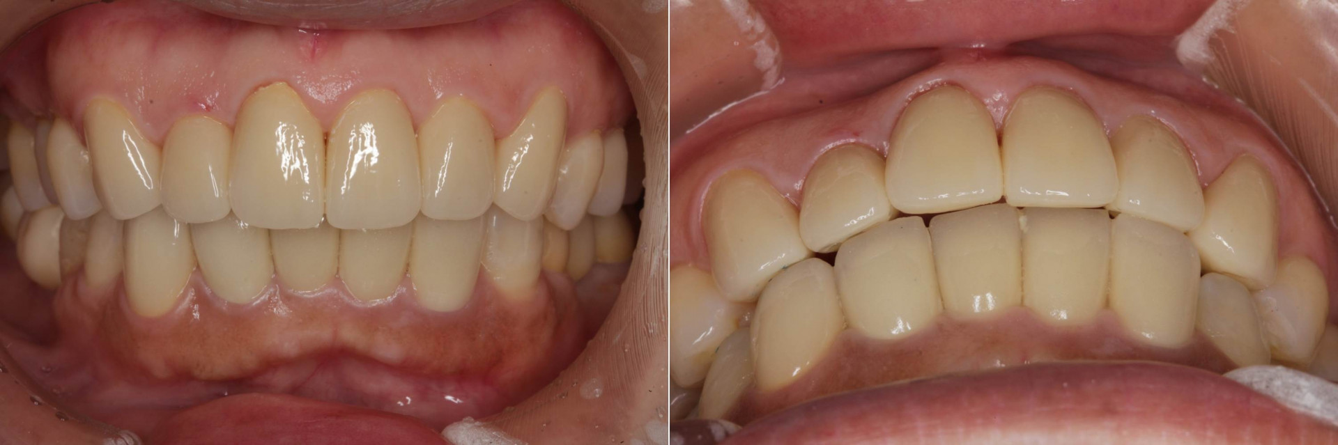
 術後のお口の中の様子です。患者様の経済的負担を考慮し、下の前歯は変更せずに、上の前歯のみの介入と致しました。歯の色と形に関しても患者様の要望を聞き、反映致しました。右の画像のように、上下の歯を合わせた時に、しっかりと空間が詰められているのが分かると思います。

流山で「舌痛」「舌癖」の原因を咬み合わせや歯並びから治療している歯科医院です。

「歯並び」と「かみ合わせ」は口腔周囲筋に影響を与えるため治療には注意が必要です。

 術後の舌の様子です。以前のような紅斑や舌の痛みは無くなり、日常生活での支障は改善したようです。舌習癖自体は、身体が環境の変化に適応しようとする反応と捉えられていますが、痛みを伴ったり、原因が分からず症状が長期化することが殆どです

 

 長らく原因不明の「舌痛」「舌癖」でお悩みの方で、咬み合わせや歯並びに不安のある方は是非、グランツ歯科クリニックまでご相談下さい。咬合認定医・補綴専門医が相談させていただきます。

 

当店でご利用いただける電子決済のご案内

下記よりお選びいただけます。