流山の歯科医院で子供の歯ぎしり予防法をお教えしております。

お問い合わせはこちら

ブログ

流山の歯科医院で子供の歯ぎしり予防法をお教えしております。

2020/04/18

流山で「子供の歯ぎしり予防法」をお教えしている歯科医院です。

子供の成長に合わせた対処法が必要です。

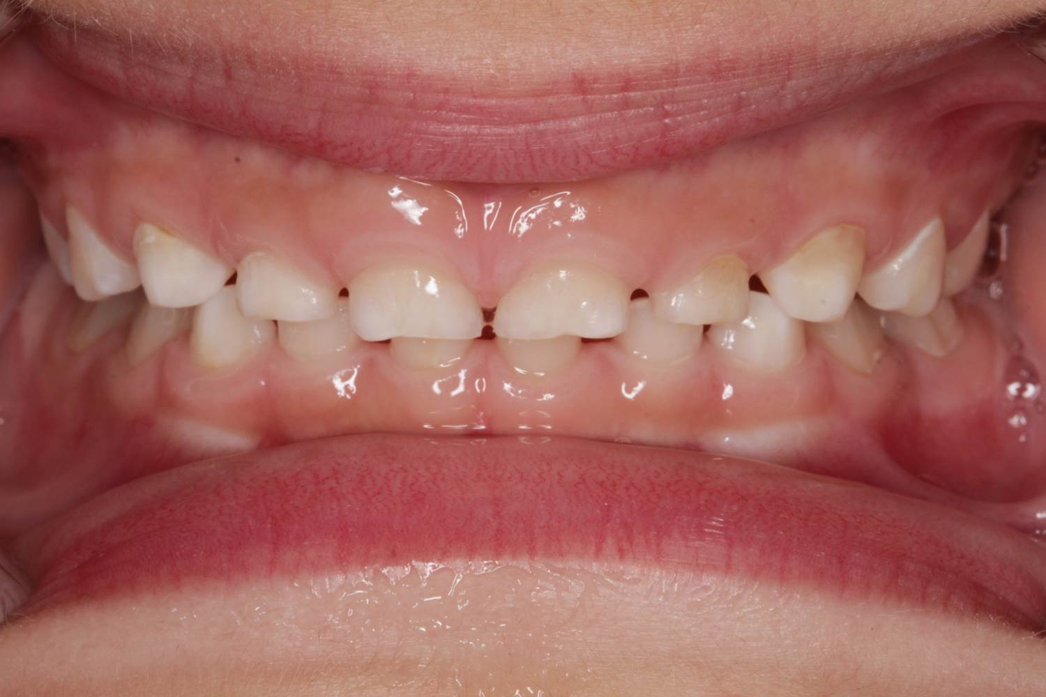
 子供の歯ぎしりについての相談が増えています。生え変わりのタイミングによって咬み合わせや歯並びの変化によるストレスを解消しようと歯ぎしりをしているという説があり、決して歯ぎしりが全て悪いというわけではありませんが、やはり親御様にとっては心配される方が多いものです。写真は5歳の男の子の例ですが、かなり歯が削れて短くなっているのが分かります。

 当院ではあまりお薦めしていませんが、子供の口に装着するマウスピースを作製する方法があります。但し、長期的な使用は成長期の顎骨の成長に影響することがあるので、避けた方が望ましいと思われます。

 あとは、行動変容療法の一つとして、家の中の壁に「リマインダー」というシールか張り紙を張っておき、気付いた時に歯を合わせていないか自分で気付かせる方法があります。

 

 子供の歯ぎしりでお悩みの方は是非、グランツ歯科クリニックに御相談下さい。

 

当店でご利用いただける電子決済のご案内

下記よりお選びいただけます。