流山の歯科医院で「乳歯列期の反対咬合」の早期発見・治療に力を入れております。

お問い合わせはこちら

ブログ

流山の歯科医院で「乳歯列期の反対咬合」の早期発見・治療に力を入れております。

2020/04/20

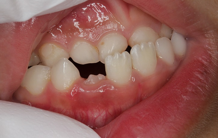
流山で「乳歯列期の反対咬合」の早期発見・治療に力を入れている歯科医院です。

子供の頃の受け口は、大人になってからの反対咬合に繋がる恐れがあります。

 以前に乳歯列期における反対咬合(受け口)の注意点について、「ヘラ押し指導」と共に本ブログでも掲載させて頂きました。繰り返しになりますが、乳歯列における反対咬合は、永久歯列においても反対咬合に反映されてしまう可能性がありますので注意が必要です。

 

 通常、上顎歯列(上の歯並び)が正常歯列の場合、下顎歯列(下の歯並び)より若干大きくアーチを描いており、少し覆いかぶさることにより上顎骨が下顎骨の過成長を抑制しています。下顎骨は身体の体幹を支える骨とは離れる遠位骨であるため、抑制するものがなければ、大きく成長していきます。つまり、反対咬合の方では、上顎骨によって成長が抑制される傾向が少ないため、下顎が過成長することによって生じると考えられています。

 

 そう考えると、やはり子供の段階で歯並びを気にしてあげるのが一番良いように思います。当院、グランツ歯科クリニックでは、乳歯列期における反対咬合の早期発見・治療に力を入れております。是非、お気軽にご相談下さい。

 ※参考までに、下顎骨の過成長が起こるのを防ぐ一例として挙げられるのが、「チンキャップ(Chin-Cap)」です。ヘッドギアから、バンドを通して、下顎を後ろに引くことで、前方への成長を抑制する装置です。なかなか思春期の患者さんに受け入れられないことも多く、断念される方もいると聞かれます。やはり子供の間に介入しておく必要があると思われます。

当店でご利用いただける電子決済のご案内

下記よりお選びいただけます。