流山の歯科医院で最新の「第3・第4世代ジルコニア」を用いたセラミックス治療を行なっております。

お問い合わせはこちら

ブログ

流山の歯科医院で最新の「第3・第4世代ジルコニア」を用いたセラミックス治療を行なっております。

2020/05/04

流山で最新の「第3・第4世代ジルコニア」を用いたセラミックス治療が受けられる歯科医院です。

「セラミックス材料」も進化していることを知って下さい。

 被せ物の材料選択として、特にセラミックス材料に関するお問い合わせが増えてきています。

 

 最新のセラミックス材料である「ジルコニア(二酸化ジルコニウム,ZrO2)」ですが、添加元素であるイットリアの含有量により強度と透明性が変化する性質があります。最新のジルコニアは第4世代になり、世の中に普及しています。当院では症例に応じてジルコニアの種類を使い分けています

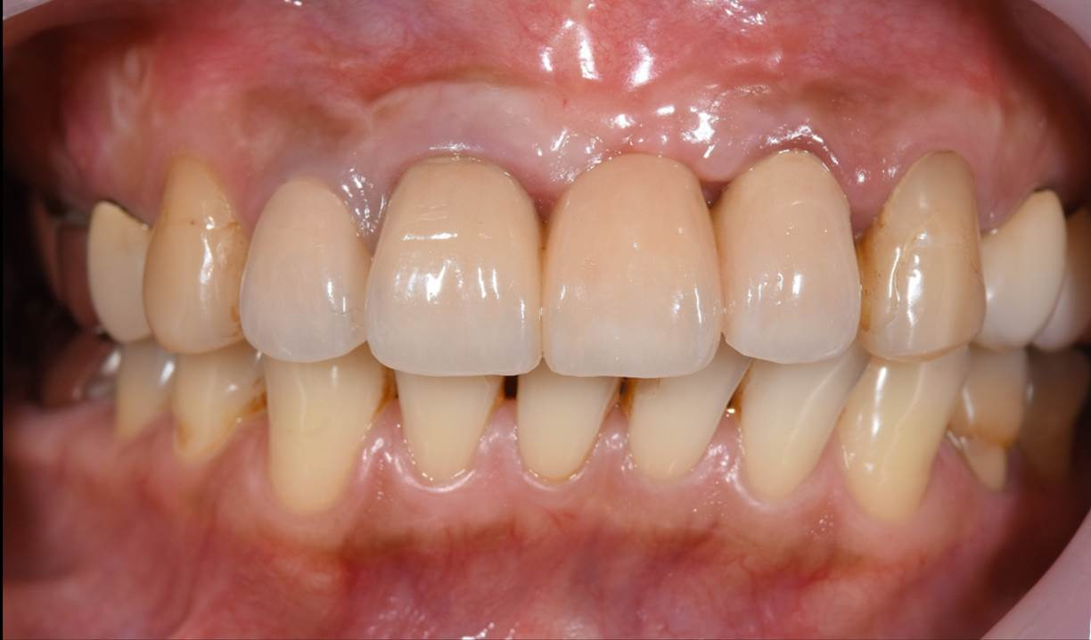
 画像は第2世代ジルコニアで全顎的に治療した例ですが、歯ぎしり・食いしばりのある患者様でしたので強度重視の材料として選択しました。

流山で最新の「第3・第4世代ジルコニア」を用いたセラミックス治療が受けられる歯科医院です。

歯医者さんで「第何世代のジルコニアですか?」と聞いてみて下さい。

 「第4世代ジルコニア」による前歯の治療例です。‟マルチレイヤード”と呼ばれる多層色ジルコニアディスクからデジタル加工で削り出し、作製されます。高強度・高審美性の材料です。

 

 セラミックス材料を用いた治療は是非、グランツ歯科クリニックまでご相談下さい。

 

当店でご利用いただける電子決済のご案内

下記よりお選びいただけます。