流山の歯科医院でバネの見えない入れ歯「ミリング義歯」の治療を行なっております。

お問い合わせはこちら

ブログ

流山の歯科医院でバネの見えない入れ歯「ミリング義歯」の治療を行なっております。

2020/05/05

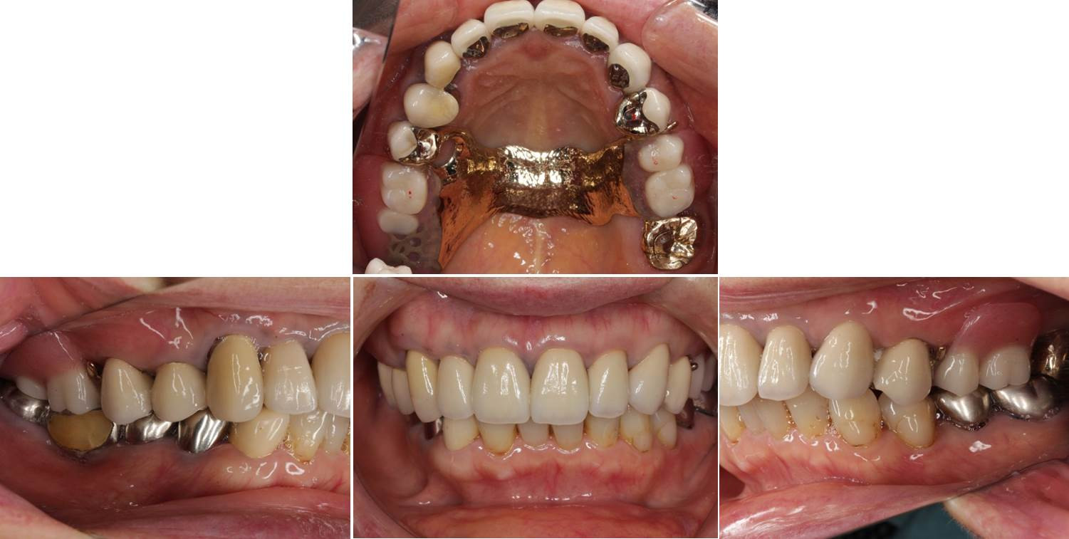
流山でバネの見えない入れ歯「ミリング義歯」による治療が受けられる歯科医院です。

動かない入れ歯で歯と一体化させることが重要です。

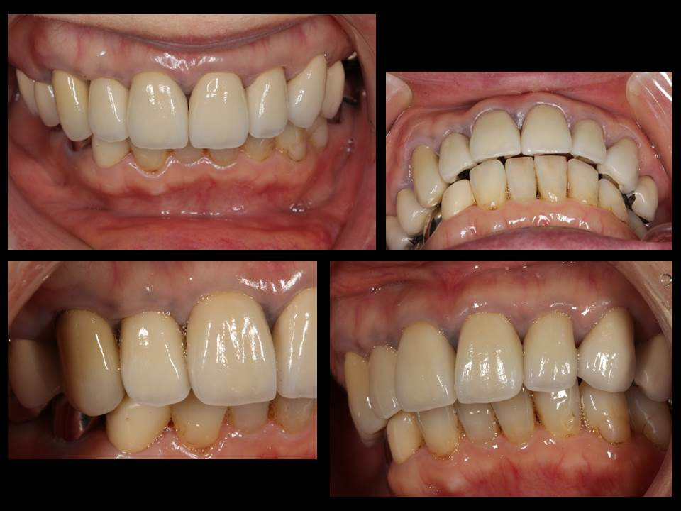
 当院グランツ歯科クリニックでは、「テレスコープ義歯」や「ミリング義歯」による、残存歯を活かして入れ歯と歯を一体化させて安定させる治療を推奨しています。バネ式の入れ歯では味わえなかった噛みしめ感が得られと同時に、長期に安定する構造となっており、修理可能な設計により一度得た歯並びと咬み合わせが長く保たれることが特徴です。

 

 画像は「ミリング義歯」による治療の一例です。残存歯をメタルボンドというセラミックスクラウンと、ゴールドを用いた金属床義歯で歯と入れ歯を一体化させて安定させています。見た目にもバネを使用しておりませんので、患者様からは好まれる治療の一つです。

流山でバネの見えない入れ歯「ミリング義歯」による治療が受けられる歯科医院です。

人生に自信を取り戻すお手伝いをさせて下さい。

しっかりと噛むことが脳への血流量を増やし、認知症を防ぐことに有効であると言われる時代です。また、しっかりと噛んで呑み込めていなければ、摂食嚥下能力が低下し、むせやすくなり、誤嚥性肺炎に直結してしまうことになります。肺炎の死亡率は年々増加傾向にありますので注意が必要です。

 当院では、「ミリング義歯」「テレスコープ義歯」による治療に特化した治療を推奨しております。

 

 歯とお口のことから全身の健康を真剣に考え直したい方は是非、グランツ歯科クリニックに御相談下さい。咬合認定医・補綴専門医が相談させていただきます。

 

当店でご利用いただける電子決済のご案内

下記よりお選びいただけます。