流山の歯科医院で「降圧剤が原因の歯肉増殖症」に対する治療のアドバイスをしております。

お問い合わせはこちら

ブログ

流山の歯科医院で「降圧剤が原因の歯肉増殖症」に対する治療のアドバイスをしております。

2020/07/02

流山で「降圧剤が原因の歯肉増殖症」に対する歯科治療のアドバイスをしている歯科医院です。

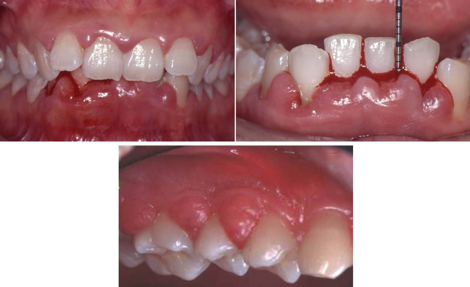
薬剤性の「歯肉増殖症」というのをご存じですか?

「歯茎が腫れている」という相談が多くなってきています。歯茎が腫れてしまう歯科的な原因は‟プラーク(歯垢)”と呼ばれる細菌性の因子が主ですが、例外的に、薬剤性に、特に高血圧症の方が服用するカルシウム拮抗成分の入った降圧剤(ニフェジピン等)の副作用歯肉増殖症が生じることがあります。

 

降圧剤を服用した人が皆、歯茎が腫れてしまうわけではありません。原因としては、「歯肉繊維中のコラーゲンの働きを阻害する」ことや、「カルシウム拮抗薬によって活性化された歯肉中の線維芽細胞が基質を多量に産生する」こととの関連が示唆されていますが、一番の原因はプラークの存在です。適切なブラッシングによりプラークコントロールが出来ていれば、薬を飲んでいても腫れは治まることが多いのです。

数年前は降圧剤の薬を変更してもらうことも多かったですが、最近では変更しなくても治るというデータも多く、必ずしも服用薬の変更をお医者さんに指示する必要はありません。 場合によっては、歯肉切除をしたり、抗生剤を服用することでも改善します。

 

頑張って磨いているのだけれど、歯茎の腫れがなかなかひかない方は是非、グランツ歯科クリニックにご相談ください。

 

当店でご利用いただける電子決済のご案内

下記よりお選びいただけます。