流山の歯科医院で「夜間の歯ぎしりに伴う咬耗・摩耗」を予防するナイトガードの装着を推奨しております。

お問い合わせはこちら

ブログ

流山の歯科医院で「夜間の歯ぎしりに伴う咬耗・摩耗」を予防するナイトガードの装着を推奨しております。

2020/07/06

流山で「夜間の歯ぎしりに伴う咬耗・摩耗」を予防するナイトガードの装着を推奨している歯科医院です。

睡眠時無呼吸、精神的・身体的ストレス等、歯ぎしりの発症因子は複合的に捉えられています。

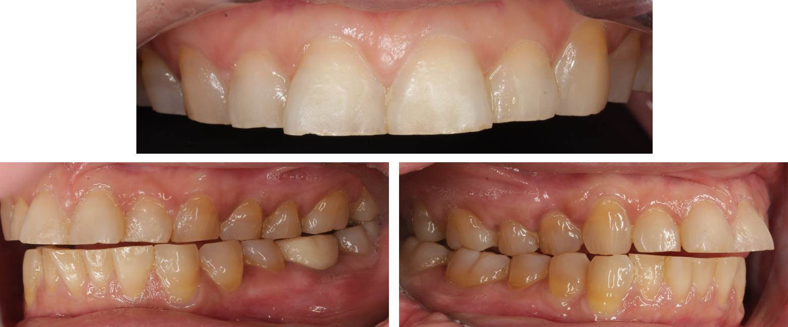
 「歯ぎしり・くいしばりで歯が痛い」という相談が増えてきています。上の画像は、「歯ぎしり・くいしばり」が酷く、歯が加速度的に削れてきている患者様の口腔内の一例です。咬んだ時の力をストップさせる奥歯の摩耗が進むにつれて、前歯に掛かる負担が大きくなるため、対症療法的ではありますが、早期にハードタイプのマウスピース(ナイトガード)を装着する必要があります。

 

 「歯並び」や「かみ合わせ」の不調和が原因と考えられていましたが、近年の研究ではストレスなどのさまざまな要因が複合的に関わり合うことで発症すると言われていますが、どのようなメカニズムで生じるのかは現時点では解明されていません。飲酒、ストレスなどで眠りが浅いときに睡眠中の歯ぎしりが起こりやすくなることはわかっています。睡眠時無呼吸症候群も眠りが浅くなる原因になるため、関与が指摘されています。胃食道逆流症(逆流性食道炎)と歯ぎしりも関与があることが分かってきています。

 

 睡眠時の歯ぎしりには、ハードタイプのマウスピースを装着することで上下の歯が接触しないようにして歯を保護する方法があります。不規則な生活習慣や睡眠の質が歯ぎしりなどの悪習癖を悪化させる要因になっていると考えられるときは、生活習慣の改善を指導することもあります。

 

 「歯ぎしり・くいしばり」でお悩みの方は是非、グランツ歯科クリニックまでご相談下さい。

 

当店でご利用いただける電子決済のご案内

下記よりお選びいただけます。