流山の歯科医院で「メタルフリー材料による齲蝕(むし歯)治療」を推奨しています。

お問い合わせはこちら

ブログ

流山の歯科医院で「メタルフリー材料による齲蝕(むし歯)治療」を推奨しています。

2021/08/20

流山で「メタルフリー材料による齲蝕(むし歯)治療」に特化した歯科医院です。

「ヒト」は皆、白い歯で生まれてきます。治療痕を残さないのが医療です。

歯科医院にいらっしゃる殆どの方が、過去に「むし歯」の治療を受けています。2000年にWHOが予防歯科の新概念として‟MI: Minimal Intervention(最小限度の侵襲)を治療のモットーとして掲揚し、20年が経過した現在では「予防歯科」の概念が広く認知されるようになりました。

 

しかし、20年間にその概念の恩恵を受けているのは主に若年~壮年期の若者達であり、転換期となる2000年以前の旧概念で歯科治療を受けてきた現代の高齢者は、食生活習慣や生活リズム、そもそもの予防の概念や歯科治療で用いられる生体材料の基準も低いものであったと言わざるを得ません。

 

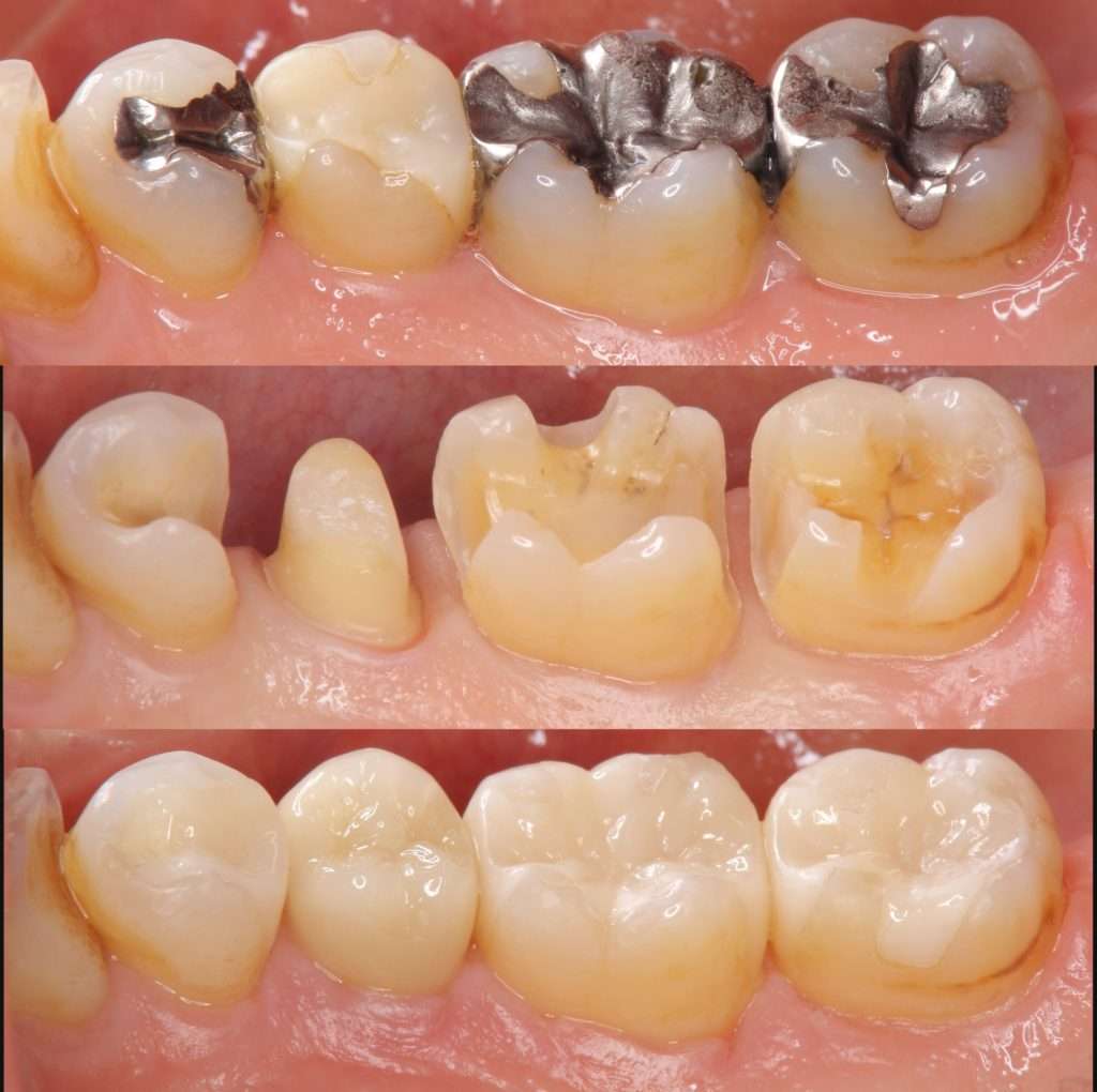
医療の根本は、病に侵された身体を治癒させ、正常に機能させることで、健康で文化的な生活を送ることが出来るよう、患者の健康増進・社会復帰に貢献することです。しかし、歯科は長らく、誰が見ても分かる銀歯による治療痕が残る治療が当たり前のように行われてきました。健康保険制度の問題も背景にありますが、残念なことに銀歯を入れることが当たり前と考えている歯科医療従事者がいることも、国民の歯に対する意識の低さを植え付ける一因となっていたと思われます。

 

近年では健康保険の適応拡大と、信頼性の高い接着システムの構築がなされ、レジンや高強度ハイブリッドレジン(通称、ハイブリッドセラミックス)、健康保険適応外のセラミックス材料を用いた治療はより身近なものとなってきています。

 

当院、グランツ歯科クリニックでは金属修復治療はお勧めしておりませんレジンやハイブリッドレジン(ハイブリッドセラミックス)、オールセラミックスなどの非金属メタルフリー材料を駆使し、これまで多くの患者様が受けてきた歯科治療のワンランク上をゆく、より高度な歯科治療をご提供させていただいております

 

銀歯の再治療時には是非、グランツ歯科クリニックまでご相談下さい。補綴専門医・IPSG咬合認定医が対応致します。

 

当店でご利用いただける電子決済のご案内

下記よりお選びいただけます。