流山の歯科医院で「最新のセラミックスと義歯(入れ歯)」に特化した治療をしております。-Vol.⑪

お問い合わせはこちら

ブログ

流山の歯科医院で「最新のセラミックスと義歯(入れ歯)」に特化した治療をしております。-Vol.⑪

2021/09/03

流山で「最新のセラミックスと質の良い義歯(入れ歯)」に特化した治療が受けられる歯科医院です。

顎口腔系の機能改善が、全身の健康に与える影響を考える時代です。-Vol.⑪

入れ歯や被せ物についての相談が増えてきています。

 

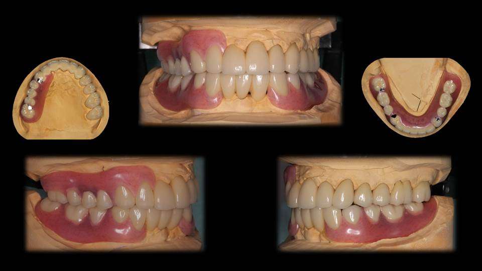
 画像は、歯科用金属により全身性のアレルギー症状を発症していた患者様の写真です。健康保険適応の銀歯である金銀パラジウム合金が口腔内に多数装着されており、経年的に溶出した金属イオンが体内に取り込まれるによりアレルギー体質となり、全て金属修復物を撤去しなくてはならない状態でした。体質に合った生体材料を適切に選択することが最重要課題となりますが、見た目が良く、奥で咬んだ力を残っている歯に、前歯に加わった力が奥の欠損部の歯茎に効率よく分散する機能的な入れ歯を設計しなくてはなりません。

 

 使用できる生体材料の制限がある中、治療方法として、患者様は上下顎残存歯にはジルコニアオールセラミックスクラウン、及びチタンレスト製エステショット(ナイロン義歯)を選択しました。

・上下顎:ジルコニアオールセラミックスクラウン+チタン製エステショット(ナイロン義歯)

 当院グランツ歯科クリニックは、最新のセラミックス材料「ジルコニア」を臨床応用し、欠損補綴には伝統的な「テレスコープシステム」に最新の放電加工技術を応用した義歯治療に特化した歯科医院ですが、患者様ごとの体質に合った選択肢としてエステショットやバルプラストといった「ナイロン義歯」も必要に応じて採用しております。

 

 勿論、健康保険適用のメタルフリー高分子材料である高強度レジンブロック「CAD/CAM冠を活用した治療や、部分入れ歯・総義歯の治療や、ごく一般的なむし歯治療も行なっておりますので、お口の中のトラブルに関しては是非、グランツ歯科クリニックにご相談下さい。補綴専門医・IPSG咬合認定医が対応させていただきます。

 

当店でご利用いただける電子決済のご案内

下記よりお選びいただけます。