流山のグランツ歯科クリニックでは「ボロボロな入れ歯」を使っていても治療が受けられます。

お問い合わせはこちら

ブログ

流山のグランツ歯科クリニックでは「ボロボロな入れ歯」を使っていても治療が受けられます。

2025/03/22

「ボロボロな入れ歯」を治したくありませんか?

あなたが通っている歯科医院は大丈夫ですか?

 当院、グランツ歯科クリニックには、健康保険適用内のバネ式入れ歯を長年使用して、歯と入れ歯がボロボロになってしまった患者様が多数来院されています。その殆んどが補綴難症例ですが、難症例な患者様ほど、テレスコープシステムによる義歯治療が非常に有効です。

 

バネ式入れ歯では歯を守ることが出来ず、クラスプと呼ばれるバネを掛けている歯から順番に悪くなってしまいます!

  「安かろう、悪かろう」で大事な身体の一部分である歯を1本でも失うのはもうやめにしませんか?

 

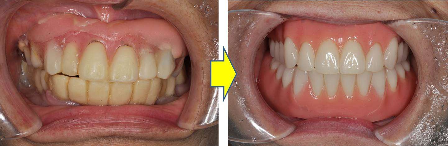
 写真は、通っている歯医者さんではドクターにずっと診て貰えなくて困り果てて当院に受診された患者様です。「いつもアシスタントの歯科助手か歯科衛生士にしか対応して貰えなくて、1年以上歯科医師の先生にお会いしていない」と仰っていました。悲しいですね…。

 

 グラグラの歯は抜いてしまいましたが、上顎に3本、下顎に5本の歯を残せたので、残っている歯だけで支える「はめ込み式の入れ歯」である「レジリエンツテレスコープ」で治療をしました。上下に装着させて頂いてから5年が経過した患者様の例ですが、装着してから2年後に歯を1本抜いていますが、バネ式の入れ歯ではありませんので、一度得られた歯並び、咬み合わせ、安定感には変化がありません

 

 当院にはテレスコープを用いた全顎補綴の長期症例が多数あります。是非、御相談下さい。

 

※画像の治療:上顎レジリエンツ テレスコープ:198万円/ 下顎レジリエンツ テレスコープ:198万円

 (テレスコープ義歯:Co-Cr-Mo合金を使用)

当店でご利用いただける電子決済のご案内

下記よりお選びいただけます。