流山のグランツ歯科クリニックでは「酸蝕症・咬耗症」の専門治療が受けられます。

お問い合わせはこちら

ブログ

流山のグランツ歯科クリニックでは「酸蝕症・咬耗症」の専門治療が受けられます。

2025/03/23

流山のグランツ歯科クリニックでは「酸蝕症・咬耗症」でボロボロになった歯の治療が受けられます。

「酸蝕・咬耗でボロボロな歯」を治して、口元から身体の健康を取り戻しませんか?

 近年,齲蝕や歯周病に次ぐ,歯の喪失を招く第三の歯科疾患として,Tooth Wear が注目されています。“Tooth Wear”とは,歯の咬耗・摩耗・酸蝕などの総称です。 その罹患率は98.9%と言われており,そのうちの5.1%が象牙質に及ぶほどの重症であると Smith(1984)らは報告しています。

 

 “Tooth Wear”自体は加齢と共に進行する生理的現象ではありますが、高齢者で重篤度が増し,若年者では軽症である傾向にあるため、早期発見・早期治療が鍵となります。“Tooth Wear” を進行させる加速因子としては,胃食道逆流症,薬剤投与による唾液減少,酸性食品の大量摂取,摂食障害に伴う嘔吐などが挙げられ,過度な咬耗症を併発した重症例では加速度的に歯のWearが進行するため,全顎的補綴介入が必要となる場合があります。

 

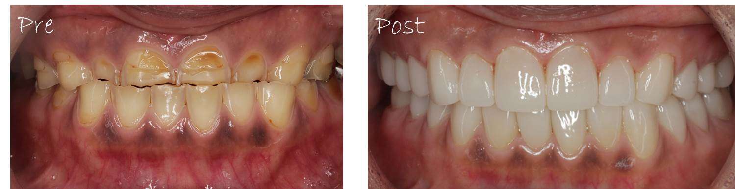
 写真は,長期に渡り歯が酸に曝露された患者様のお口の様子です。歯が削れて神経管が露出して痛みが出てしまう程の重度の酸蝕・咬耗症でしたが、全ての歯を被せる治療をしました。因みに、本症例は私と同い年の若い女性の患者さんです。前に通っていた歯医者さんでは削れた歯にプラスチックの樹脂を詰めるだけだったそうです。根本的に治療方法の選択が間違っています

 

※画像の治療:咬合支持をする大臼歯部のみオールセラミックスクラウン×4歯(約60万円)

その他は全て健康保険適用内のCADCAM用ハイブリッド型コンポジットレジンクラウン(1歯当たり6,000円程度)

 

 もし,「最近、歯が小さくなってきたかな?」「歯が削れてきてしみるようになってきたかな?」などの症状でお困りの際には,グランツ歯科クリニックまでご相談ください。

 

補綴専門医・IPSG咬合認定医の院長 岡本 

米国補綴専門医 兼 米国歯周病専門医である杉田龍士郎先生 が相談に乗ります。

当店でご利用いただける電子決済のご案内

下記よりお選びいただけます。