流山のグランツ歯科クリニックでは「よく噛めて違和感の少ないテレスコープ義歯」の治療が受けられます。

お問い合わせはこちら

ブログ

流山のグランツ歯科クリニックでは「よく噛めて違和感の少ないテレスコープ義歯」の治療が受けられます。

2025/04/03

流山のグランツ歯科クリニックではテレスコープとインプラントを用いた全顎補綴治療が受けられます。

「ボロボロ、グラグラ」な歯をテレスコープで治療して快適な生活を取り戻しませんか?

当院、グランツ歯科クリニックには、健康保険適用内のバネ式入れ歯や銀歯を使用して、お口の中がボロボロになってしまった患者様が多数来院されています。その殆んどが補綴難症例ですが、難症例な患者様ほど、テレスコープシステムによる義歯治療が非常に有効です。

 

バネ式入れ歯では歯を守ることが出来ず、クラスプと呼ばれるバネを掛けている歯から順番に悪くなってしまいます!

  「安かろう、悪かろう」で大事な身体の一部分である歯を1本でも失うのはもうやめにしませんか?

 

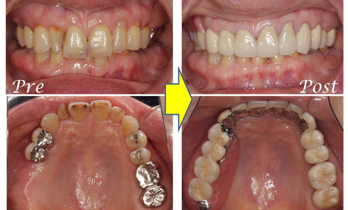
 写真は、左下の大臼歯1本と右上小臼歯2本を噛みしめ癖で割ってしまい抜歯をしなくてはならない状態で、どうしても奥歯4本の上顎の入れ歯を大きくしたくなくて当院に受診された患者様です。下顎は奥歯にインプラントを1本埋入して、上顎は閂(カンヌキ)式の入れ歯である「リーゲルテレスコープ」で治療させていただくことになりました。

 

 装着してから3年が経過した患者様の例ですが、テレスコープ義歯はバネ式の入れ歯ではありませんので、入れ歯が小さくコンパクトになって装着感に優れているのが特徴です。一度得られた歯並び、咬み合わせ、安定感には長期に渡り変化がありません

 当院にはテレスコープを用いた全顎補綴の長期症例が多数ありますので、義歯・入れ歯でお困りの方は是非、御相談下さい。

 

※画像の治療

上顎:右上4567番リーゲル テレスコープ(片側設計) :約110万円 / 右上3番~左上7番 ハイブリッドレジン前装冠:11万円×10歯

下顎:左下6番インプラント1ヵ所埋入:約50万円

 (テレスコープ義歯:Co-Cr-Mo合金,インプラント:SPI社を使用)

 

当店でご利用いただける電子決済のご案内

下記よりお選びいただけます。