流山のグランツ歯科クリニックでは「銀歯ばっかり」でも治療が受けられます。

お問い合わせはこちら

ブログ

流山のグランツ歯科クリニックでは「銀歯ばっかり」でも治療が受けられます。

2025/04/04

流山のグランツ歯科クリニックでは銀歯を使わない治療が受けられます。

日本は「歯科医療後進国」って知っていましたか?

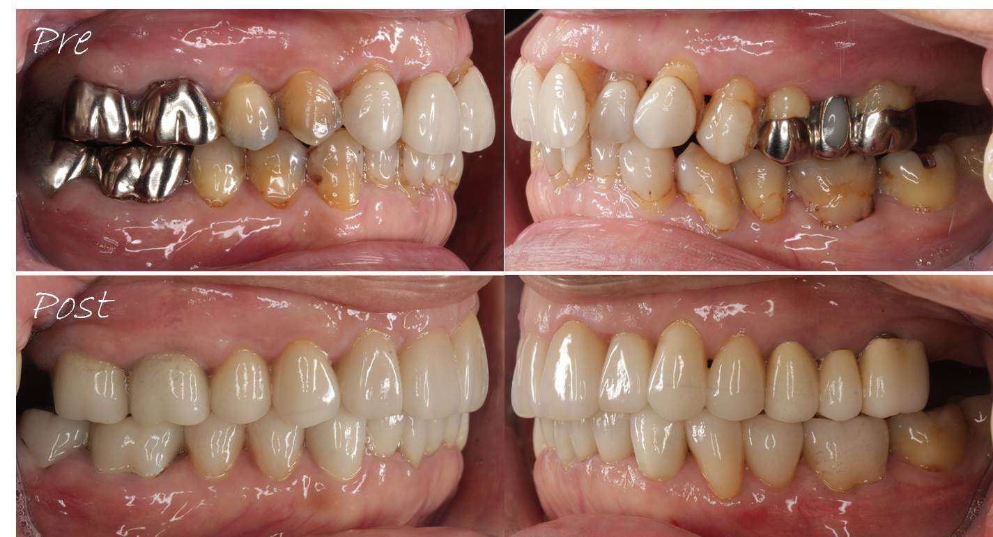
 「歯科治療をする度に銀歯が増えてしまう」という経験をしたことはありませんでしょうか?厚生労働省の定める健康保険適用の材料は長らく銀歯が主役でしたが、近年ではセラミックス材料高強度レジン系材料、そして接着性レジンセメント材料の進歩により、その主役は金属修復からCAD/CAMテクノロジーを駆使した最新のデジタル歯科治療用材料に取って代わっています。

 

 皆様はもし仮に、医科の手術として開腹手術を受けた場合、傷跡は出来るだけ残さないようにして欲しいと考えませんでしょうか?歯科では長らく、銀歯で治療痕を残す治療が、歯科医師の手により平気でなされてきました。医療用生体材料と技術の飛躍的な進歩により、現代の歯科治療は可能な限り治療痕を残さない治療にシフトしています。写真の症例では、治療後には金属色は全く見えないように治療されています。

 

 「銀歯が見えてイヤだ」という方は是非、グランツ歯科クリニックに御相談下さい。

 

 

当店でご利用いただける電子決済のご案内

下記よりお選びいただけます。