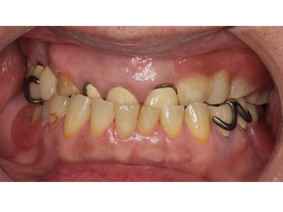
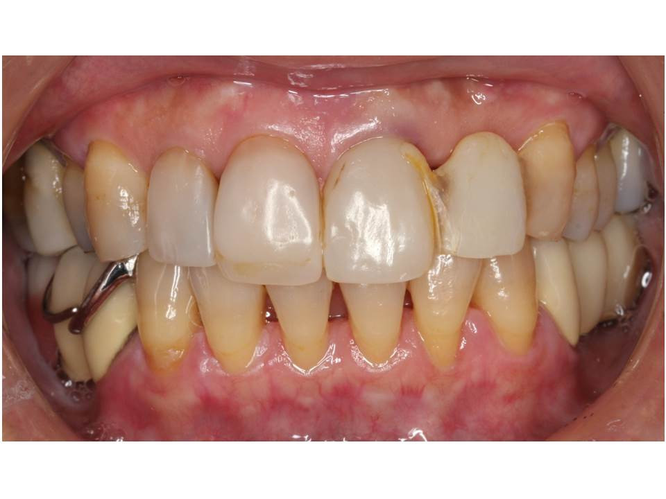
流山の歯科医院で酸蝕症の専門治療が受けられます。
2020/01/08
ブログ
歯医者として流山市内にお住まいの皆様の健康的な暮らしをサポートしているグランツ歯科クリニックでは、スタッフブログによる情報発信に力を入れており、歯や入れ歯、嚙み合わせ、顎の全体的な動き等、口の健康と美容に役立つ充実した記事を定期的にアップロードしております。専門性の高い治療を提供していますが、一般の方にも安心してお受けいただけるよう丁寧に説明しています。
日々進歩する技術に追随し、さらに利用しやすいクリニックとして歩んでまいりますので、ブログをご覧の上でぜひご予約ください。
2020/01/08
2020/01/06
2020/01/03
2020/01/02
2020/01/01
2020/01/01
2019/12/31
2019/12/31
2019/12/31
2019/12/27
江戸川台周辺エリアで厚い信頼を寄せられているデンタルクリニックでは、提供する多彩な治療メニューやその効果性についてさらに多くの方に知っていただけるよう、スタッフブログを利用した情報発信にも取り組んでおります。むし歯や歯周病による痛み、不快感でお悩みの方への丁寧な診療をはじめ、お子様向けの小児歯科、症状が出る前に食い止める予防歯科、顎・舌・口腔粘膜といった口内の様々な症状に対応できる口腔外科等、あらゆるニーズに対応できるのが強みです。
ブログ記事では、特に入れ歯や嚙み合わせ、歯並びといった審美面での改善をサポートするメニューについての詳細情報や、最新の機器を使用した施術の様子、健康的で美しい口元をキープするために意識できるワンポイントアドバイス等、参考にしていただける豊富な情報を含んでおりますので、関心をお持ちになりましたらお気軽にお問い合わせください。
当店でご利用いただける電子決済のご案内
下記よりお選びいただけます。